2 Union Square, Union City, CA 94587
contact@NeoBiotechnologies.com
510-376-5603

Home >> Antibodies >> ABCC11 / ATP Binding Cassette Subfamily C Member 11

ABCC11 / ATP Binding Cassette Subfamily C Member 11

Mouse Monoclonal Antibody [Clone ABCC11/2438]

Catalog #

Size

20 ug
100 ug
100 ug

Price (USD)

219.00
499.00
499.00

Formulation

Purified Ab with BSA and Azide at 200ug/ml
Purified Ab with BSA and Azide at 200ug/ml
Purified Ab WITHOUT BSA and Azide at 1.0mg/ml

Catalog No

Size

20 ug
100 ug
100 ug

Formulation

Purified Ab with BSA and Azide at 200ug/ml
Purified Ab with BSA and Azide at 200ug/ml
Purified Ab WITHOUT BSA and Azide at 1.0mg/ml

Price (USD)

219.00
499.00
499.00
img

SDS-PAGE Analysis Purified ABCC11 Mouse Monoclonal Antibody (ABCC11/2438). Confirmation of Purity and Integrity of Antibody.

img

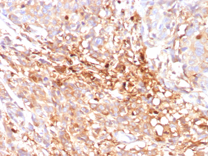
Formalin-fixed, paraffin-embedded human triple negative breast cancer stained with ABCC11 Mouse Monoclonal Antibody (ABCC11/2438). HIER: Tris/EDTA, pH9.0, 45min. 2°: HRP-polymer, 30min. DAB, 5min.

Product Details

Synonyms

ABCC11; ATP binding cassette sub family C (CFTR/MRP) member 11; ATP binding cassette transporter MRP8; ATP binding cassette transporter sub family C member 11; EWWD; MRP8; Multidrug resistance-associated protein 8; WW

Positive Control

Human breast, breast cancer or testis.

Known Applications & Suggested Dilutions

IHC-P         More Details

Immunohistochemistry (Formalin-fixed) (1-2ug/ml for 30 minutes at RT)
(Staining of formalin-fixed tissues requires heating tissue sections in 10mM Tris with 1mM EDTA, pH 9.0, for 45 min at 95°C followed by cooling at RT for 20 minutes)
Optimal dilution for a specific application should be determined.

Immunogen

Recombinant fragment (around aa400-600) of human ABCC11 protein (exact sequence is proprietary)

Cellular Localization

Membrane.

Species Reactivity

Human.

Host / Ig Isotype

Mouse / IgG2b, kappa

Mol. Weight of Antigen

170-190kDa

Specificity & Comments

ATP-binding cassette (ABC) transporters belong to an evolutionarily conserved family of proteins that catalyze the transport of molecules across extra- and intracellular membranes through the energy of ATP hydrolysis. ABC genes comprise seven subfamilies, designated ABC1, MDR/TAP, MRP, ALD, OABP, GCN20 and White. The complete human ABCC subfamily has 12 identified members (ABCC1-12), nine from the multidrug resistance-like subgroup, two from the sulfonylurea receptor subgroup, and the CFTR gene. The human ABCC11 gene maps to chromosome 16q12.1 and encodes a 1,382 amino acid protein. The human ABCC12 gene maps to chromosome 16q12.1 and encodes a 1,359 amino acid protein. Transcripts of ABCC11 and ABCC12 genes are present in various adult human tissues, including liver, lung and kidney, and also in several fetal tissues. Their chromosomal localization, potential function and expression patterns identify them as candidates for paroxysmal kinesigenic choreoathetosis, a disorder characterized by attacks of involuntary movements and postures, chorea and dystonia. Other inherited disorders where ABC transporters are implicated include cystic fibrosis, neurological disease, retinal degeneration, cholesterol and bile transport defects, anemia and drug response.

Related Products



200ug/ml of Ab purified from Bioreactor Concentrate by Protein A/G. Prepared in 10mM PBS with 0.05% BSA & 0.05% azide. Also available WITHOUT BSA & azide at 1.0mg/ml.

Key References

  1. Tammur, J., et al. 2001. Two new genes from the human ATP-binding cassette transporter superfamily, ABCC11 and ABCC12, tandemly duplicated on chromosome 16q12. Gene 273: 89-96.

Bioinformatics

  •  Entrez Gene ID: 85320
  •  Gene Symbol: ABCC11
  •  SwissProt: Q96J66
  •  Chromosome Location: 16q12.1
  •  Unigene: 652267