2 Union Square, Union City, CA 94587
contact@NeoBiotechnologies.com
510-376-5603

Home >> Antibodies >> ABCC4 / ATP Binding Cassette Subfamily C Member 4 (Drug Target)

ABCC4 / ATP Binding Cassette Subfamily C Member 4 (Drug Target)

Mouse Monoclonal Antibody [Clone ABCC4/9019]

Catalog #

Size

20 ug
100 ug
100 ug

Price (USD)

219.00
499.00
499.00

Formulation

Purified Ab with BSA and Azide at 200ug/ml
Purified Ab with BSA and Azide at 200ug/ml
Purified Ab WITHOUT BSA and Azide at 1.0mg/ml

Catalog No

Size

20 ug
100 ug
100 ug

Formulation

Purified Ab with BSA and Azide at 200ug/ml
Purified Ab with BSA and Azide at 200ug/ml
Purified Ab WITHOUT BSA and Azide at 1.0mg/ml

Price (USD)

219.00
499.00
499.00
img

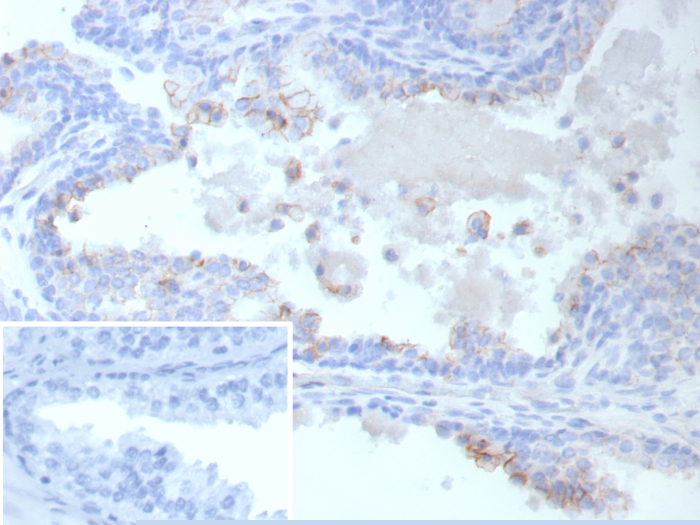
Formalin-fixed, paraffin-embedded human prostate cancer stained with ABCC4 Mouse Monoclonal Antibody (ABCC4/9019). Inset: PBS instead of primary antibody; secondary only negative control.

img

SDS-PAGE Analysis Purified ABCC4 Mouse Monoclonal Antibody (ABCC4/9019). Confirmation of Purity and Integrity of Antibody.

Product Details

Synonyms

bA464I2.1 (ATP binding cassette, sub-family C (CFTR/MRP) member 4); Canalicular multispecific organic anion transporter ABC superfamily; MOATB; MRP/cMOAT related ABC transporter; Multi-specific organic anion transporter B; Multidrug resistance associated protein 4

Positive Control

Widely expressed, with particularly high levels in prostate, but is barely detectable in liver.

Known Applications & Suggested Dilutions

IHC-P         More Details

Immunohistochemistry (Formalin-fixed) (1-2ug/ml for 30 minutes at RT)
(Staining of formalin-fixed tissues requires heating tissue sections in 10mM Tris with 1mM EDTA, pH 9.0, for 45 min at 95°C followed by cooling at RT for 20 minutes)
Optimal dilution for a specific application should be determined.

Immunogen

Recombinant fragment (around aa1-200) of human ABCC4 protein (exact sequence is proprietary)

Cellular Localization

Membrane.

Species Reactivity

Human.

Host / Ig Isotype

Mouse / IgG2b, kappa

Mol. Weight of Antigen

150kDa

Specificity & Comments

The two members of the large family of ABC transporters known to confer multidrug resistance in human cancer cells are the Mdr-1 P-glycoprotein and the multidrug-resistance protein MRP1. MRP1 is an integral membrane protein that contains an MDR-like core, an N-terminal membrane-bound region and a cytoplasmic linker, and it is expressed in various cerebral cells, as well as in lung, testis and peripheral blood. The MRP gene family also includes MRP2, which is alternatively designated cMOAT (for canalicular multispecific organic anion transporter), and MRP3, which are both conjugate export pumps expressed predominantly in hepatocytes. MRP2 localizes exclusively to the apical membrane and is constitutively expressed at a high level in normal liver cells. Conversely, MRP3 localizes to the basolateral membrane where it also mediates the transport of the organic anion S-(2,4-dinitrophenyl-) glutathione toward the basolateral side of the membrane. MRP3 is normally expressed at comparatively lower levels than MRP2 and increases only when secretion across the apical membrane by MRP2 is impaired. MRP6 is highly expressed in liver and kidney, whereas MRP4 and MRP5 are detected in various tissues, yet at much lower levels of expression.

Related Products



200ug/ml of Ab purified from Bioreactor Concentrate by Protein A/G. Prepared in 10mM PBS with 0.05% BSA & 0.05% azide. Also available WITHOUT BSA & azide at 1.0mg/ml.

Key References

  1. Versantvoort, C.H., et al. 1995. Regulation by glutathione of drug transport in multidrug-resistant human lung tumour cell lines overexpressing multidrug resistance-associated protein. Br. J. Cancer 72: 82-89.

Bioinformatics

  •  Entrez Gene ID: 10257
  •  Gene Symbol: ABCC4
  •  SwissProt: O15439
  •  Chromosome Location: 13q32.1
  •  Unigene: 508423