2 Union Square, Union City, CA 94587
contact@NeoBiotechnologies.com
510-376-5603

Home >> Antibodies >> Aldo-keto Reductase Family 1 Member C1 / DD1

Aldo-keto Reductase Family 1 Member C1 / DD1

Mouse Monoclonal Antibody [Clone CPTC-AKR1C1-2]

Catalog #

Size

20 ug
100 ug
100 ug

Price (USD)

219.00
499.00
499.00

Formulation

Purified Ab with BSA and Azide at 200ug/ml
Purified Ab with BSA and Azide at 200ug/ml
Purified Ab WITHOUT BSA and Azide at 1.0mg/ml

Catalog No

Size

20 ug
100 ug
100 ug

Formulation

Purified Ab with BSA and Azide at 200ug/ml
Purified Ab with BSA and Azide at 200ug/ml
Purified Ab WITHOUT BSA and Azide at 1.0mg/ml

Price (USD)

219.00
499.00
499.00
img

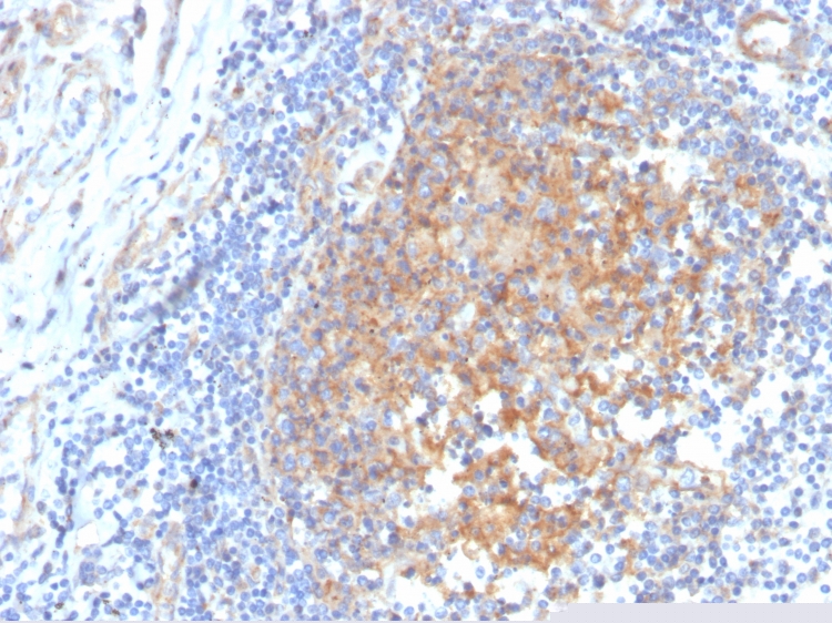
Formalin-fixed, paraffin-embedded human tonsil stained with AKR1C1 Mouse Monoclonal Antibody (CPTC-AKR1C1-2).

img

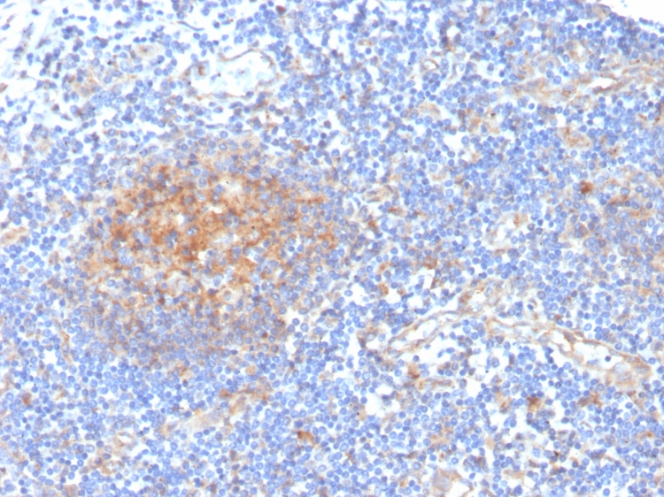
Formalin-fixed, paraffin-embedded human tonsil stained with AKR1C1 Mouse Monoclonal Antibody (CPTC-AKR1C1-2).

Product Details

Synonyms

2-dihydrobenzene-1; 2-diol dehydrogenase; 20 alpha (3 alpha) hydroxysteroid dehydrogenase; 20ALPHAHSD; 2ALPHAHSD; AK1C1; C9; Chlordecone reductase homolog HAKRC; DD1/DD2; DDH1; Dihydrodiol dehydrogenase 1/2; H37; HBAB; Hepatic dihydrodiol dehydrogenase; High affinity hepatic bile acid-binding protein; Indanol dehydrogenase; MBAB; Trans-1,2 dihydrobenzene 1,2 diol dehydrogenase; Type II 3 alpha hydroxysteroid dehydrogenase

Positive Control

HepG2 or A549 cells. Human liver or stomach tissue.

Known Applications & Suggested Dilutions

Western Blot, IHC-P         More Details

Western Blot (1-2ug/ml)
Immunohistochemistry (Formalin-fixed) (1-2ug/ml for 30 minutes at RT)
(Staining of formalin-fixed tissues requires heating tissue sections in 10mM Tris with 1mM EDTA, pH 9.0, for 45 min at 95°C followed by cooling at RT for 20 minutes)
Optimal dilution for a specific application should be determined.

Immunogen

Recombinant human full-length AKR1C1 protein

Cellular Localization

Cytoplasm.

Species Reactivity

Human.

Host / Ig Isotype

Mouse / IgG1, kappa

Mol. Weight of Antigen

37kDa

Specificity & Comments

DDH / AKR1C1 is a member of the aldo/keto reductase superfamily, which consists of more than 40 known enzymes and proteins. These enzymes catalyze the conversion of aldehydes and ketones to their corresponding alcohols by utilizing NADH and/or NADPH as cofactors. The enzymes display overlapping but distinct substrate specificity. This enzyme catalyzes the reaction of progesterone to the inactive form 20-alpha-hydroxy-progesterone.

Related Products



200ug/ml of Ab purified from Bioreactor Concentrate by Protein A/G. Prepared in 10mM PBS with 0.05% BSA & 0.05% azide. Also available WITHOUT BSA & azide at 1.0mg/ml.

Key References

  1. Binstock, J.M., et al. 1992. Human hepatic 3α-hydroxysteroid dehydrogenase: possible identity with human hepatic chlordecone reductase. Biochem. Biophys. Res. Commun. 187: 760-766.

Bioinformatics

  •  Entrez Gene ID: 1645
  •  Gene Symbol: AKR1C1
  •  SwissProt: Q04828
  •  Chromosome Location: 10p15.1
  •  Unigene: 460260
NBT02254