2 Union Square, Union City, CA 94587
contact@NeoBiotechnologies.com
510-376-5603

Home >> Antibodies >> B7-H6 / NCR3LG1 (Natural Killer Cell Cytotoxicity Receptor 3 Ligand 1)

B7-H6 / NCR3LG1 (Natural Killer Cell Cytotoxicity Receptor 3 Ligand 1)

Mouse Monoclonal Antibody [Clone B7H6/4821]

Catalog #

Size

20 ug
100 ug
100 ug

Price (USD)

219.00
499.00
499.00

Formulation

Purified Ab with BSA and Azide at 200ug/ml
Purified Ab with BSA and Azide at 200ug/ml
Purified Ab WITHOUT BSA and Azide at 1.0mg/ml

Catalog No

Size

20 ug
100 ug
100 ug

Formulation

Purified Ab with BSA and Azide at 200ug/ml
Purified Ab with BSA and Azide at 200ug/ml
Purified Ab WITHOUT BSA and Azide at 1.0mg/ml

Price (USD)

219.00
499.00
499.00
img

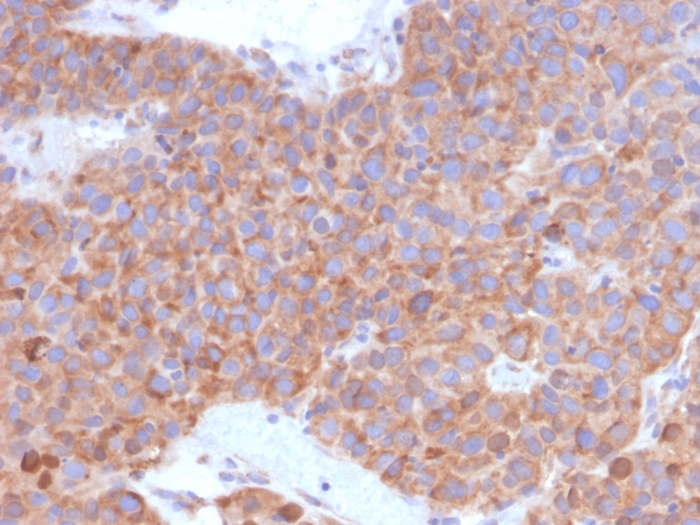
Formalin-fixed, paraffin-embedded human liver carcinoma in colon stained with B7-H6 / NCR3LG1 Mouse Monoclonal Antibody (B7H6/4821). HIER: Tris/EDTA, pH9.0, 45min. 2°: HRP-polymer, 30min. DAB, 5min.

img

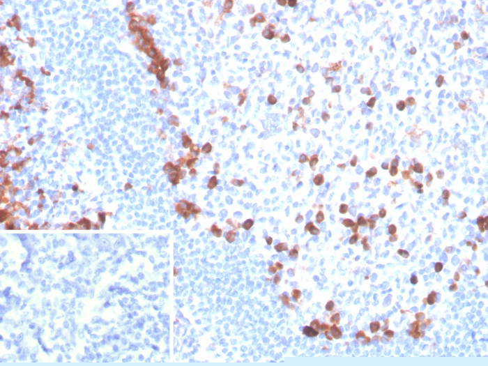
Formalin-fixed, paraffin-embedded human tonsil stained with B7-H6 / NCR3LG1 Mouse Monoclonal Antibody (B7H6/4821). Inset: PBS instead of primary antibody; secondary only negative control.

img

SDS-PAGE Analysis Purified B7-H6 / NCR3LG1 Mouse Monoclonal Antibody (B7H6/4821). Confirmation of Purity and Integrity of Antibody.

Product Details

Synonyms

Natural cytotoxicity triggering receptor 3 ligand 1 (NCTR3L1); B7 Homolog 6 (B7H6)

Positive Control

HeLa or K562 cells. Human tonsil or gallbladder.

Known Applications & Suggested Dilutions

IHC-P         More Details

Immunohistochemistry (Formalin-fixed) (1-2ug/ml for 30 minutes at RT)
(Staining of formalin-fixed tissues requires heating tissue sections in 10mM Tris with 1mM EDTA, pH 9.0, for 45 min at 95°C followed by cooling at RT for 20 minutes)
Optimal dilution for a specific application should be determined.

Immunogen

Recombinant fragment (around aa38-169) of human NCR3LG protein (exact sequence is proprietary)

Cellular Localization

Membrane

Species Reactivity

Human.

Host / Ig Isotype

Mouse / IgG1, kappa

Mol. Weight of Antigen

51kDa

Specificity & Comments

B7-H6 (NCR3LG1) is a transmembrane endogenous ligand expressed on the surfaces of tumor cells. B7-H6 binds with NKp30 present on NK cells. Binding of B7-H6 to NKp30 causes the ligation of NKp30 subsequently inducing NK cell activation and target cell cytolysis. B7-H6 is not constitutively expressed on normal tissue. Whether it can be expressed endogenously under certain conditions is under investigation. B7-H6 has been detected on circulating pro-inflammatory CD14(+)CD16(+) monocytes in some patients with sepsis.

Related Products



200ug/ml of Ab purified from Bioreactor Concentrate by Protein A/G. Prepared in 10mM PBS with 0.05% BSA & 0.05% azide. Also available WITHOUT BSA & azide at 1.0mg/ml.

Key References

  1. Zhang, B, et al. Oncol Lett. 2019 Jul; 16(1): 91-96.
  2. Brandt CS, et al. J Exp Med. 2009;206:1495-1503.

Bioinformatics

  •  Entrez Gene ID: 374383
  •  Gene Symbol: NCR3LG
  •  SwissProt: Q68D85
  •  Chromosome Location: 11p15.1
  •  Unigene: 146274