2 Union Square, Union City, CA 94587
contact@NeoBiotechnologies.com
510-376-5603

Home >> Antibodies >> BAP1 (BRCA1 Associated Protein 1)

BAP1 (BRCA1 Associated Protein 1)

Recombinant Rabbit Monoclonal Antibody [Clone BAP1/6861R]

Catalog #

Size

20 ug
100 ug
100 ug

Price (USD)

219.00
499.00
499.00

Formulation

Purified Ab with BSA and Azide at 200ug/ml
Purified Ab with BSA and Azide at 200ug/ml
Purified Ab WITHOUT BSA and Azide at 1.0mg/ml

Catalog No

Size

20 ug
100 ug
100 ug

Formulation

Purified Ab with BSA and Azide at 200ug/ml
Purified Ab with BSA and Azide at 200ug/ml
Purified Ab WITHOUT BSA and Azide at 1.0mg/ml

Price (USD)

219.00
499.00
499.00
img

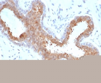
Formalin-fixed, paraffin-embedded human breast carcinoma stained with BAP1 Recombinant Rabbit Monoclonal Antibody (BAP1/6861R). Inset: PBS instead of primary, secondary antibody control.

img

Formalin-fixed, paraffin-embedded human breast carcinoma stained with BAP1 Recombinant Rabbit Monoclonal Antibody (BAP1/6861R).

Product Details

Synonyms

BAP1; BRCA1 associated protein 1; Cerebral protein 13; Cerebral protein 6; HUCEP 13; Hucep 6; HUCEP13; Hucep6; TPDS; Ubiquitin carboxy terminal hydrolase; Ubiquitin carboxyl terminal hydrolase BAP1; UCHL2

Positive Control

Human breast or malignant mesothelioma.

Known Applications & Suggested Dilutions

IHC-P         More Details

Immunohistochemistry (Formalin-fixed) (1-2ug/ml for 30 minutes at RT)
(Staining of formalin-fixed tissues requires heating tissue sections in 10mM Tris with 1mM EDTA, pH 9.0, for 45 min at 95 °C followed by cooling at RT for 20 minutes)
Optimal dilution for a specific application should be determined.

Immunogen

Recombinant fragment (around aa400-729) of human BAP1 protein (exact sequence is proprietary)

Cellular Localization

Nuclear. Cytoplasm.

Species Reactivity

Human.

Host / Ig Isotype

Rabbit / IgG, kappa

Mol. Weight of Antigen

91kDa

Specificity & Comments

The BAP1 gene belongs to the ubiquitin C-terminal hydrolase subfamily of de-ubiquitination enzymes that are involved in the removal of ubiquitin from proteins. The encoded enzyme binds to the breast cancer type 1 susceptibility protein (BRCA1) via the RING finger domain of the latter and acts as a tumor suppressor. In addition, the enzyme may be involved in regulation of transcription, regulation of cell cycle and growth, response to DNA damage and chromatin dynamics. Germ line mutations in this gene may be associated with tumor predisposition syndrome (TPDS), which involves increased risk of cancers including malignant mesothelioma, Uveal melanoma and cutaneous melanoma.

Related Products



200ug/ml of Ab purified from Bioreactor Concentrate by Protein A/G. Prepared in 10mM PBS with 0.05% BSA & 0.05% azide. Also available WITHOUT BSA & azide at 1.0mg/ml.

Key References

  1. Thway K, et al. Am J Surg Pathol. 2012 Mar;36(3):462-9.

Bioinformatics

  •  Entrez Gene ID: 8314
  •  Gene Symbol: BAP1
  •  SwissProt: Q92560
  •  Chromosome Location: 3p21.1
  •  Unigene: 106674