2 Union Square, Union City, CA 94587
contact@NeoBiotechnologies.com
510-376-5603

Home >> Antibodies >> BMI1 (Oncogene and Stem Cell Marker)

BMI1 (Oncogene and Stem Cell Marker)

Mouse Monoclonal Antibody [Clone BMI1/2689]

Catalog #

Size

20 ug
100 ug
100 ug

Price (USD)

219.00
499.00
499.00

Formulation

Purified Ab with BSA and Azide at 200ug/ml
Purified Ab with BSA and Azide at 200ug/ml
Purified Ab WITHOUT BSA and Azide at 1.0mg/ml

Catalog No

Size

20 ug
100 ug
100 ug

Formulation

Purified Ab with BSA and Azide at 200ug/ml
Purified Ab with BSA and Azide at 200ug/ml
Purified Ab WITHOUT BSA and Azide at 1.0mg/ml

Price (USD)

219.00
499.00
499.00
img

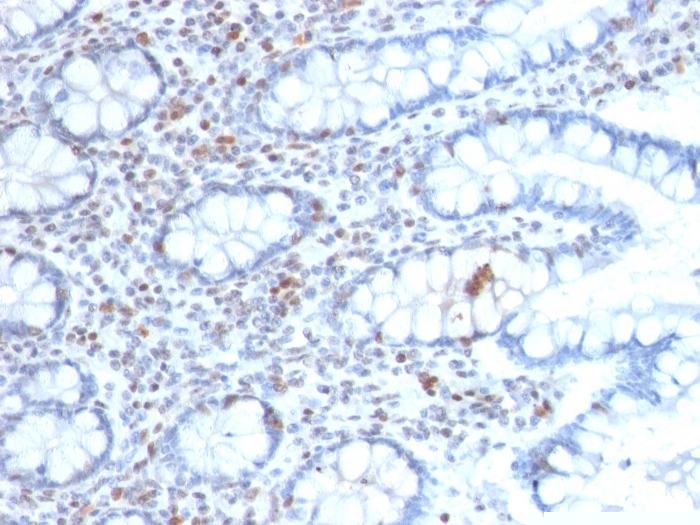
Formalin-fixed, paraffin-embedded human Colon Carcinoma stained with BMI1-Monospecific Mouse Monoclonal Antibody (BMI1/2689).

img

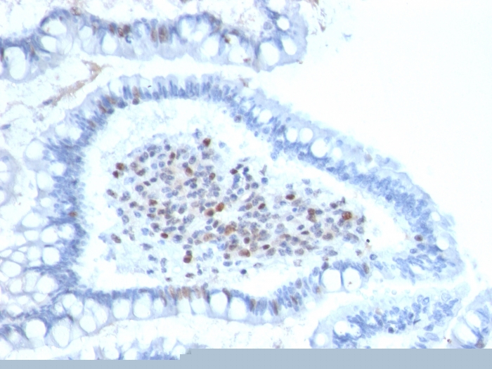
Formalin-fixed, paraffin-embedded human Colon Carcinoma stained with BMI1-Monospecific Mouse Monoclonal Antibody (BMI1/2689).

img

Western Blot Analysis of Human 293T cell lysate using BMI1-Monospecific Mouse Monoclonal Antibody (BMI1/2689).

img

SDS-PAGE Analysis of Purified BMI1-Monospecific Mouse Monoclonal Antibody (BMI1/2689). Confirmation of Purity and Integrity of Antibody.

img

Analysis of Protein Array containing more than 19,000 full-length human proteins using BMI1-Monospecific Mouse Monoclonal Antibody (BMI1/2689)

Product Details

Synonyms

B lymphoma Mo MLV insertion region 1 homolog; BMI1; BMI1 polycomb ring finger oncogene; FLVI2/BMI1; Oncogene BMI1; PCGF4; Polycomb complex protein BMI-1; Polycomb group ring finger 4; RING finger protein 51; RNF51

Positive Control

293T, NIH3T3, HeLa or Jurkat cells. Colon Carcinoma.

Known Applications & Suggested Dilutions

Western Blot, IHC-P         More Details

Western Blot (1-2ug/ml)
Immunohistochemistry (Formalin-fixed) (1-2ug/ml for 30 minutes at RT)(Staining of formalin-fixed tissues requires heating tissue sections in 10mM Tris with 1mM EDTA, pH 9.0, for 45 min at 95°C followed by cooling at RT for 20 minutes)
Optimal dilution for a specific application should be determined.

Immunogen

Recombinant fragment of human BMI1 protein (around aa 142-326) (exact sequence is proprietary)

Cellular Localization

Nuclear

Species Reactivity

Human.

Host / Ig Isotype

Mouse / IgG1, kappa

Mol. Weight of Antigen

41kDa

Specificity & Comments

The B cell-specific moloney murine leukemia virus integration site 1 (Bmi-1) is a transcriptional receptor of the polycomb gene family involved in several cellular processes including cell-cycle regulation, apoptosis, and maintenance of adult and neoplastic stem cells by providing self-renewal capacity. Further, Bmi-1 expression has been associated with malignant transformation, tumor progression, metastatic disease, and poor prognosis in human malignancies.

Related Products



200ug/ml of Ab Purified from Bioreactor Concentrate by Protein A/G. Prepared in 10mM PBS with 0.05% BSA & 0.05% azide. Also available WITHOUT BSA & azide at 1.0mg/ml.

Key References

  1. Park IK, Morrison SJ, Clarke MF. Bmi1, stem cells, and senescence regulation. J Clin Invest2004; 113:175-179.

Bioinformatics

  •  Entrez Gene ID: 648
  •  Gene Symbol: BMI1
  •  SwissProt: P35226
  •  Chromosome Location: 10p12.2.3
  •  Unigene: 380403
NBT02689