2 Union Square, Union City, CA 94587
contact@NeoBiotechnologies.com
510-376-5603

Home >> Antibodies >> Catenin, alpha-1 (CTNNA1)

Catenin, alpha-1 (CTNNA1)

Mouse Monoclonal Antibody [Clone 1G5]

Catalog #

Size

20 ug
100 ug
100 ug

Price (USD)

219.00
499.00
499.00

Formulation

Purified Ab with BSA and Azide at 200ug/ml
Purified Ab with BSA and Azide at 200ug/ml
Purified Ab WITHOUT BSA and Azide at 1.0mg/ml

Catalog No

Size

20 ug
100 ug
100 ug

Formulation

Purified Ab with BSA and Azide at 200ug/ml
Purified Ab with BSA and Azide at 200ug/ml
Purified Ab WITHOUT BSA and Azide at 1.0mg/ml

Price (USD)

219.00
499.00
499.00
img

Western Blot of A431 and MCF-7 cell lysate using Catenin, alpha-1 Mouse Monoclonal Antibody (1G5).

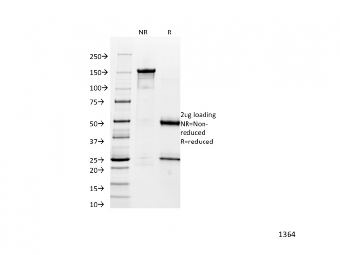
img

SDS-PAGE Analysis Purified Catenin, alpha-1 Mouse Monoclonal Antibody (1G5).

Product Details

Synonyms

Alpha E-catenin; Cadherin-associated protein; CAP102; Catenin alpha-1; CTNNA1; Renal carcinoma antigen NY-REN-13

Positive Control

HeLa, A431 or MCF-7 cells.

Known Applications & Suggested Dilutions

Flow Cyt, IF, Western Blot         More Details

Flow Cytometry (1-2ug/million cells)
Immunofluorescence (1-2ug/ml)
Western Blot (1-2ug/ml)
Optimal dilution for a specific application should be determined.

Immunogen

Human alpha catenin fusion protein

Cellular Localization

Cell Surface

Species Reactivity

Human.

Host / Ig Isotype

Mouse / IgG1, kappa

Mol. Weight of Antigen

102kDa

Specificity & Comments

Recognizes a protein of 102kDa, identified as Catenin, alpha-1. Catenins comprise a large family of Ca2+-dependent, homotypic cell-cell adhesion molecules that play important roles in development, epithelial cell polarity and tumor progression. Alpha-catenin is a key regulator of actin dynamics in cell-cell adhesion. During cell-cell adhesion, -catenin and links the cadherins to actin associated with the cytoskeleton. Alpha-catenin also regulates the beta-catenin signaling in various cells. It displays the tumor suppressor activity and is found to be down regulated in some forms of breast cancer.'

Related Products



200ug/ml of Ab Purified from Bioreactor Concentrate by Protein A/G. Prepared in 10mM PBS with 0.05% BSA & 0.05% azide. Also available WITHOUT BSA & azide at 1.0mg/ml.

Key References

  1. Johnson, KR; Lewis, JE; Li, D; Wahl, J; Soler, AP; Knudsen, KA; Wheelock, MJ. P- and E-cadherin are in separate complexes in cells expressing both cadherins. Exp Cell Res 1993, 207: 252-60
  2. Nieman, MT; Kim, JB; Johnson, KR; Wheelock, MJ. Mechanism of extracellular domain-deleted dominant negative cadherins. J Cell Science 1999, 112: 1621-32

Bioinformatics

  •  Entrez Gene ID: 1495
  •  Gene Symbol: CTNNA1
  •  SwissProt: P35221
  •  Chromosome Location: 5q31.2
  •  Unigene: 445981
NBT01364