2 Union Square, Union City, CA 94587
contact@NeoBiotechnologies.com
510-376-5603

Home >> Antibodies >> CD22 / BL-CAM (B-Cell Marker)

CD22 / BL-CAM (B-Cell Marker)

Recombinant Mouse Monoclonal Antibody [Clone rBLCAM/6749]

Catalog #

Size

20 ug
100 ug
100 ug

Price (USD)

219.00
499.00
499.00

Formulation

Purified Ab with BSA and Azide at 200ug/ml
Purified Ab with BSA and Azide at 200ug/ml
Purified Ab WITHOUT BSA and Azide at 1.0mg/ml

Catalog No

Size

20 ug
100 ug
100 ug

Formulation

Purified Ab with BSA and Azide at 200ug/ml
Purified Ab with BSA and Azide at 200ug/ml
Purified Ab WITHOUT BSA and Azide at 1.0mg/ml

Price (USD)

219.00
499.00
499.00
img

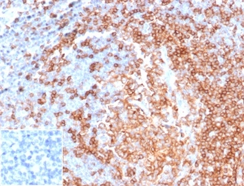
IHC analysis of formalin-fixed, paraffin-embedded human tonsil using rBLCAM/6749 at 2ug/ml. HIER: Tris/EDTA, pH9.0, 45min. Inset: PBS instead of primary antibody, secondary negative control.

img

Formalin-fixed, paraffin-embedded human tonsil stained with CD22 Recombinant Mouse Monoclonal Antibody (rBLCAM/6749).

img

SDS-PAGE Analysis Purified CD22 Recombinant Mouse Monoclonal Antibody (rBLCAM/6749). Confirmation of Purity and Integrity of Antibody.

Product Details

Synonyms

B-lymphocyte cell adhesion molecule (BL-CAM); B-cell receptor CD22; CD22; Lectin 2; Lyb8; Sialic acid-binding Ig-like lectin 2 (Siglec-2); SIGLEC2; T-cell surface antigen Leu-14

Positive Control

Raji cells or human peripheral blood lymphocytes (hPBL). Human tonsil, lymph node or spleen.

Known Applications & Suggested Dilutions

IHC-P         More Details

Immunohistochemistry (Formalin-fixed) (1-2ug/ml for 30 minutes at RT)
(Staining of formalin-fixed tissues requires heating tissue sections in 10mM Tris with 1mM EDTA, pH 9.0, for 45 min at 95 °C followed by cooling at RT for 20 minutes)
Optimal dilution for a specific application should be determined.

Immunogen

Recombinant fragment (around aa52-178) of human BL-CAM/CD22 protein (exact sequence is proprietary)

Cellular Localization

Cell Surface

Species Reactivity

Human.

Host / Ig Isotype

Mouse / IgG1, kappa

Mol. Weight of Antigen

130-140kDa

Specificity & Comments

Recognizes a protein of 130-140kDa, identified as CD22 (also known as BL-CAM). CD22 expression is restricted to normal and neoplastic B cells and is absent from other haemopoietic cell types. In B-cell ontogeny, CD22 is first expressed in the cytoplasm of pro-B and pre-B cells, and on the surface as B cells mature to become IgD+. It is not expressed by plasma cells, CD22 is found highly expressed in follicular mantle and marginal zone B-cells, and while germinal center B-cells are relatively weak. CD22 is a member of the immunoglobulin superfamily and serves as an adhesion receptor for sialic acid-bearing ligands expressed on erythrocytes and all leukocyte classes. It also associates with tyrosine kinases and play a role in signal transduction and B-cell activation.

Related Products



200ug/ml of Ab purified from Bioreactor Concentrate by Protein A/G. Prepared in 10mM PBS with 0.05% BSA & 0.05% azide. Also available WITHOUT BSA & azide at 1.0mg/ml.

Key References

  1. Sato S et al. Semin Immunol 1998, 10:287-297.

Bioinformatics

  •  Entrez Gene ID: 933
  •  Gene Symbol: CD22
  •  SwissProt: P20273
  •  Chromosome Location: 19q13.1
  •  Unigene: 579691