2 Union Square, Union City, CA 94587
contact@NeoBiotechnologies.com
510-376-5603

Home >> Antibodies >> CD95 / FAS / TNFRSF6

CD95 / FAS / TNFRSF6

Mouse Monoclonal Antibody [Clone FAS/3588]

Catalog #

Size

20 ug
100 ug
100 ug

Price (USD)

219.00
499.00
499.00

Formulation

Purified Ab with BSA and Azide at 200ug/ml
Purified Ab with BSA and Azide at 200ug/ml
Purified Ab WITHOUT BSA and Azide at 1.0mg/ml

Catalog No

Size

20 ug
100 ug
100 ug

Formulation

Purified Ab with BSA and Azide at 200ug/ml
Purified Ab with BSA and Azide at 200ug/ml
Purified Ab WITHOUT BSA and Azide at 1.0mg/ml

Price (USD)

219.00
499.00
499.00
img

Analysis of Protein Array containing more than 19,000 full-length human proteins using CD95 Mouse Monoclonal Antibody (FAS/3588).

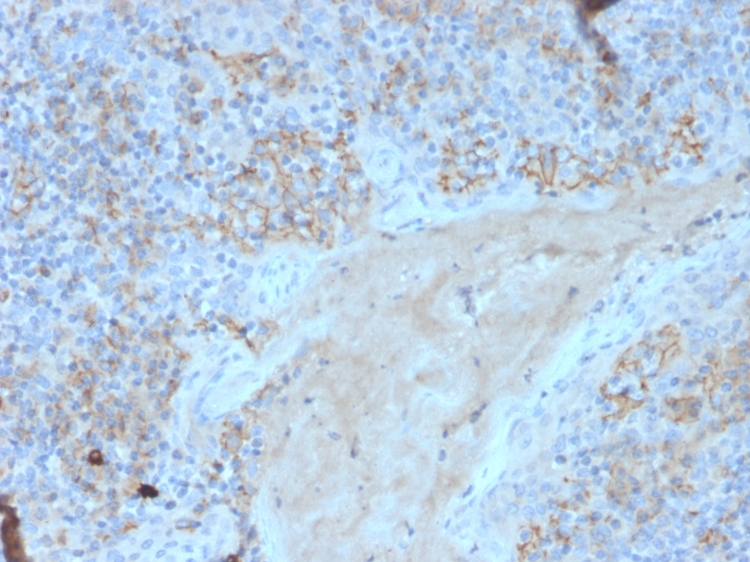
img

Formalin-fixed, paraffin-embedded human tonsil stained with CD95 Mouse Monoclonal Antibody (FAS/3588).

Product Details

Synonyms

ALPS1A, Apoptosis APO1 antigen 1, Apoptosis-mediating surface antigen FAS, APT1, Delta Fas, Fas AMA, Fas cell surface death receptor, FAS1, FASL receptor, FASLG receptor, FASTM, Surface antigen APO1, Tumor necrosis factor receptor superfamily member 6 (TNFRSF6)

Positive Control

MCF-7 cells (IF/FACS). Human hepatocellular or bladder carcinoma (IHC).

Known Applications & Suggested Dilutions

ELISA, IHC-P         More Details

ELISA (For coating, order Ab without BSA)
Immunohistochemistry (Formalin-fixed) (1-2ug/ml for 30 min at RT),(Staining of formalin-fixed tissues requires heating tissue sections in 10mM Tris with 1mM EDTA, pH 9.0, for 45 min at 95°C followed by cooling at RT for 20 minutes)
Optimal dilution for a specific application should be determined.

Immunogen

Recombinant fragment (around aa26-96) of human CD95 (FAS) protein (exact sequence is proprietary)

Cellular Localization

Cell Surface

Species Reactivity

Human.

Host / Ig Isotype

Mouse / IgG2b, kappa

Mol. Weight of Antigen

38-50kDa

Specificity & Comments

This MAb specifically recognizes CD95, also known as Fas, a transmembrane glycoprotein with a MW of 40-45kDa, containing 8kDa of N-glycoside-linked polysaccharide. It is a receptor for TNFSF6/FASLG, a member of the nerve growth factor receptor/tumor necrosis factor superfamily, mediating receptor-triggered apoptosis. The adapter molecule FADD recruits caspase-8 to the activated receptor. The resulting death-inducing signaling complex (DISC) performs caspase-8 proteolytic activation, which initiates the subsequent cascade of caspases (aspartate-specific cysteine proteases) mediating apoptosis. FAS-mediated apoptosis may have a role in the induction of peripheral tolerance, in the antigen-stimulated suicide of mature T-cells, or both. The secreted isoforms 2 to 6 block apoptosis (in vitro). CD95 antigen is expressed on the surface of various cell types, preferentially on the CD45RAlow CD45ROhigh subset of memory T lymphocytes.

Related Products



200ug/ml of Ab Purified from Bioreactor Concentrate by Protein A/G. Prepared in 10mM PBS with 0.05% BSA & 0.05% azide. Also available WITHOUT BSA & azide at 1.0mg/ml.

Key References

  1. Sasaki et al. Br J Urol 81: 852, 1998.

Bioinformatics

  •  Entrez Gene ID: 355
  •  Gene Symbol: FAS
  •  SwissProt: P25445
  •  Chromosome Location: 10q24.1
  •  Unigene: 244139
NBT03588