2 Union Square, Union City, CA 94587
contact@NeoBiotechnologies.com
510-376-5603

Home >> Antibodies >> Ep-CAM / CD326 (Extracellular Domain) (Epithelial Marker)

Ep-CAM / CD326 (Extracellular Domain) (Epithelial Marker)

Mouse Monoclonal Antibody [Clone EGP40/1798]

Catalog #

Size

20 ug
100 ug
100 ug

Price (USD)

219.00
499.00
499.00

Formulation

Purified Ab with BSA and Azide at 200ug/ml
Purified Ab with BSA and Azide at 200ug/ml
Purified Ab WITHOUT BSA and Azide at 1.0mg/ml

Catalog No

Size

20 ug
100 ug
100 ug

Formulation

Purified Ab with BSA and Azide at 200ug/ml
Purified Ab with BSA and Azide at 200ug/ml
Purified Ab WITHOUT BSA and Azide at 1.0mg/ml

Price (USD)

219.00
499.00
499.00
img

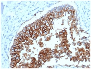
Formalin-fixed, paraffin-embedded human colorectal carcinomastained with Ep-CAMMouse Monoclonal Antibody (EGP40/1798).

img

SDS-PAGE Analysis Purified EpCAM Mouse Monoclonal Antibody (EGP40/1798). Confirmation of Integrity and Purity of Antibody.

img

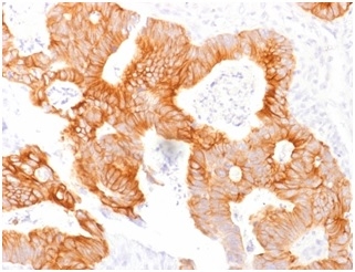
Formalin-fixed, paraffin-embedded canine (dog) bladder stained with Ep-CAM Mouse Monoclonal Antibody (EGP40/1798).

img

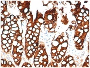
Formalin-fixed, paraffin-embedded feline (cat)small intestine stained with Ep-CAM Mouse Monoclonal Antibody (EGP40/1798).

img

Western blot analysis of MCF-7 cell lysate using Ep-CAM Mouse Monoclonal Antibody (EGP40/1798).

img

Confocal immunofluorescence analysis of MCF-7 cells. Ep-CAM Mouse Monoclonal Antibody (EGP40/1798) conjugated to CF488 (green); RedDot is used to label the nuclei.

img

Analysis of Protein Array containing >19,000 full-length human proteins using EpCAM Mouse Monoclonal Antibody (EGP40/1798)

Product Details

Synonyms

Adenocarcinoma-associated Antigen; Cell Surface Glycoprotein Trop-1; EGP2; EGP314; EGP40; Epithelial Cell Adhesion Molecule; Epithelial Glycoprotein 314; ESA; KSA; TACD1; TROP1; Tumor-associated Calcium Signal Transducer 1 (TACSTD1); ECS-1; Epidermal Surface Antigen 1; ESA1; FLOT2; Flotillin-2; Membrane Component, Chromosome 17, Surface Marker-1 (M17S1); REG-1; Reggie-1; Reggie-2

Positive Control

MCF-7 orHT29 cells. Human breast or ovariancarcinoma.

Known Applications & Suggested Dilutions

ELISA, Flow Cyt, IF, Western Blot, IHC-P         More Details

ELISA (Use Ab at 2-4ug/ml for coating) (Order Ab without BSA)
Flow Cytometry (1-2ug/million cells)
Immunofluorescence (1-2ug/ml)
Western Blot (1-2ug/ml)
Immunohistochemistry (Formalin-fixed) (0.5-2ug/ml for 30 minutes at RT)
(Staining of formalin-fixed tissues requires heating tissue sections in 10mM Tris with 1mM EDTA, pH 9.0, for 45 min at 95 °C followed by cooling at RT for 20 minutes)
Optimal dilution for a specific application should be determined.

Immunogen

Recombinant fragment from the extracellular domain of human EpCAM protein (around aa100-224) (exact sequence is proprietary)

Cellular Localization

Cell Surface

Species Reactivity

Human. Dog. Cat. Others not known.

Host / Ig Isotype

Mouse / IgG2b, kappa

Mol. Weight of Antigen

40-43kDa

Specificity & Comments

EGP40 is a 40-43kDa transmembrane epithelial glycoprotein, also identified as epithelial specific antigen (ESA), or epithelial cellular adhesion molecule (Ep-CAM). It is expressed on baso-lateral cell surface in most simple epithelia and a vast majority of carcinomas. This antibody has been used to distinguish adenocarcinoma from pleural mesothelioma and hepatocellular carcinoma. This antibody is also useful in distinguishing serous carcinomas of the ovary from mesothelioma.

Related Products



200ug/ml of Ab purified from Bioreactor Concentrate by Protein A/G. Prepared in 10mM PBS with0.05% BSA & 0.05% azide. Also available WITHOUT BSA & azide at 1.0mg/ml.

Key References

  1. Litvinov SV et. al. J Cell Biol, 1994, 125:437-46.
  2. Tsubura A et. al. J Cut Pathol, 1992, 19:73-9.

Bioinformatics

  •  Entrez Gene ID: 4072
  •  Gene Symbol: TACSTD1
  •  SwissProt: P16422
  •  Chromosome Location: 2p21
  •  Unigene: 542050