2 Union Square, Union City, CA 94587
contact@NeoBiotechnologies.com
510-376-5603

Home >> Antibodies >> FABP2 (Marker of Metastatic Potential in Colorectal Cancer)

FABP2 (Marker of Metastatic Potential in Colorectal Cancer)

Mouse Monoclonal Antibody [Clone FABP2/7669]

Catalog #

Size

20 ug
100 ug
100 ug

Price (USD)

219.00
499.00
499.00

Formulation

Purified Ab with BSA and Azide at 200ug/ml
Purified Ab with BSA and Azide at 200ug/ml
Purified Ab WITHOUT BSA and Azide at 1.0mg/ml

Catalog No

Size

20 ug
100 ug
100 ug

Formulation

Purified Ab with BSA and Azide at 200ug/ml
Purified Ab with BSA and Azide at 200ug/ml
Purified Ab WITHOUT BSA and Azide at 1.0mg/ml

Price (USD)

219.00
499.00
499.00
img

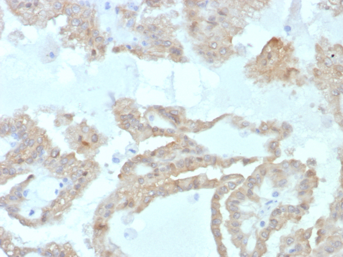
Formalin-fixed, paraffin-embedded human renal cell carcinoma stained with FABP2 Mouse Monoclonal Antibody (FABP2/7669). HIER: Tris/EDTA, pH9.0, 45min. 2: HRP-polymer, 30min. DAB, 5min.

img

SDS-PAGE Analysis Purified FABP2 Mouse Monoclonal Antibody (FABP2/7669). Confirmation of Purity and Integrity of Antibody.

Product Details

Synonyms

FABPI; I-FABP; MGC133132, Fatty Acid-Binding Protein, Intestinal

Positive Control

Keratinocytes, highly expressed in psoriatic skin.

Known Applications & Suggested Dilutions

IHC-P         More Details

Immunohistochemistry (Formalin-fixed) (1-2ug/ml for 30 minutes at RT)
(Staining of formalin-fixed tissues requires heating tissue sections in 10mM Tris with 1mM EDTA, pH 9.0, for 45 min at 95°C followed by cooling at RT for 20 minutes)
Optimal dilution for a specific application should be determined.

Immunogen

Recombinant full length human FABP2 protein

Cellular Localization

Cytoplasm.

Species Reactivity

Human.

Host / Ig Isotype

Mouse / IgG

Mol. Weight of Antigen

15.21kDa

Specificity & Comments

The intracellular fatty acid-binding proteins (FABPs) belong to a multigene family with nearly twenty identified members. FABPs are divided into at least three distinct types, namely the hepatic-, intestinal- and cardiac-type. They form 14-15kDa proteins and are thought to participate in the uptake, intracellular metabolism and/or transport of long-chain fatty acids. They may also be responsible in the modulation of cell growth and proliferation. Intestinal fatty acid-binding protein 2 gene contains four exons and is an abundant cytosolic protein in small intestine epithelial cells. This gene has a polymorphism at codon 54 that identified an alanine-encoding allele and a threonine-encoding allele. Thr-54 protein is associated with increased fat oxidation and insulin resistance.

Related Products



200ug/ml of Ab purified from Bioreactor Concentrate by Protein A/G. Prepared in 10mM PBS with 0.05% BSA & 0.05% azide. Also available WITHOUT BSA & azide at 1.0mg/ml.

Key References

  1. Shabana, and S Hasnain. The Fatty Acid Binding Protein 2 (FABP2) Polymorphism Ala54Thr and Obesity in Pakistan: A Population Based Study and a Systematic Meta-Analysis. Gene., U.S. National Library of Medicine, 10 Dec. 2015, www.ncbi.nlm.nih.gov/pubmed/26238699.

Bioinformatics

  •  Entrez Gene ID: 2169
  •  Gene Symbol: FABP2
  •  SwissProt: P12104
  •  Chromosome Location: 4q26
  •  Unigene: 282265