2 Union Square, Union City, CA 94587
contact@NeoBiotechnologies.com
510-376-5603

Home >> Antibodies >> Fas Ligand (FASLG)

Fas Ligand (FASLG)

Mouse Monoclonal Antibody [Clone FASLG/4455]

Catalog #

Size

20 ug
100 ug
100 ug

Price (USD)

219.00
499.00
499.00

Formulation

Purified Ab with BSA and Azide at 200ug/ml
Purified Ab with BSA and Azide at 200ug/ml
Purified Ab WITHOUT BSA and Azide at 1.0mg/ml

Catalog No

Size

20 ug
100 ug
100 ug

Formulation

Purified Ab with BSA and Azide at 200ug/ml
Purified Ab with BSA and Azide at 200ug/ml
Purified Ab WITHOUT BSA and Azide at 1.0mg/ml

Price (USD)

219.00
499.00
499.00
img

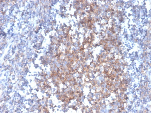
Formalin-fixed, paraffin-embedded human tonsil stained with Fas Ligand (FASLG) Mouse Monoclonal Antibody (FASLG/4455).

img

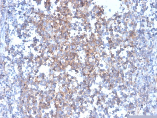
Formalin-fixed, paraffin-embedded human tonsil stained with Fas Ligand (FASLG) Mouse Monoclonal Antibody (FASLG/4455).

img

Analysis of Protein Array containing more than 19,000 full-length human proteins using Fas Ligand (FASLG) Mouse Monoclonal Antibody (FASLG/4455).

Product Details

Synonyms

ALPS1B; Apoptosis (APO 1) antigen ligand 1; APT1LG1; APTL; CD178 antigen; CD95 ligand protein; Fas antigen ligand; FASL; FASLG; Generalized lymphoproliferative disease (Gld); soluble form; Tumor necrosis factor ligand superfamily member 6 (TNFL6 / TNFSF6)

Positive Control

Human tonsil or prostate.

Known Applications & Suggested Dilutions

IHC-P         More Details

Immunohistochemistry (Formalin-fixed) (1-2ug/ml for 30 minutes at RT)
(Staining of formalin-fixed tissues requires heating tissue sections in 10mM Tris with 1mM EDTA, pH 9.0, for 45 min at 95°C followed by cooling at RT for 20 minutes)
Optimal dilution for a specific application should be determined.

Immunogen

Human recombinant FASLG protein fragment (around aa 107-222) (exact sequence is proprietary)

Cellular Localization

Cell surface. Secreted.

Species Reactivity

Human.

Host / Ig Isotype

Mouse / IgG1, kappa

Mol. Weight of Antigen

26kDa (soluble FAS-L) / 40kDa (FAS-L membrane)

Specificity & Comments

Cytotoxic T lymphocyte (CTL)-mediated cytotoxicity constitutes an important component of specific effector mechanisms in immuno-surveillance against virus-infected or transformed cells. Two mechanisms appear to account for this activity, one of which is the perforin-based process. Independently, a FAS-based mechanism involves the transducing molecule FAS (also designated Apo-1) and its ligand (FAS-L). The human FAS protein is a cell surface glycoprotein that belongs to a family of receptors that includes CD40, nerve growth factor receptors and tumor necrosis factor receptors. The FAS antigen is expressed on a broad range of lymphoid cell lines, certain of which undergo apoptosis in response to treatment with antibody to FAS. These findings strongly imply that targeted cell death is potentially mediated by the intercellular interactions of FAS with its ligand or effectors, and that FAS may be critically involved in CTL-mediated cytotoxicity.

Related Products



200ug/ml of Ab purified from Bioreactor Concentrate by Protein A/G. Prepared in 10mM PBS with 0.05% BSA & 0.05% azide. Also available WITHOUT BSA & azide at 1.0mg/ml.

Key References

  1. Henkart, P.A. 1985. Mechanism of lymphocyte-mediated cytotoxicity. Annu. Rev. Immunol. 3: 31-58.

Bioinformatics

  •  Entrez Gene ID: 356
  •  Gene Symbol: FASLG
  •  SwissProt: P48023
  •  Chromosome Location: 1q24.3
  •  Unigene: 2007