2 Union Square, Union City, CA 94587
contact@NeoBiotechnologies.com
510-376-5603

Home >> Antibodies >> Ferritin, Light Chain (Node-Negative Breast Tumor Prognostic Marker)

Ferritin, Light Chain (Node-Negative Breast Tumor Prognostic Marker)

Mouse Monoclonal Antibody [Clone FTL/1386]

Catalog #

Size

20 ug
100 ug
100 ug

Price (USD)

219.00
499.00
499.00

Formulation

Purified Ab with BSA and Azide at 200ug/ml
Purified Ab with BSA and Azide at 200ug/ml
Purified Ab WITHOUT BSA and Azide at 1.0mg/ml

Catalog No

Size

20 ug
100 ug
100 ug

Formulation

Purified Ab with BSA and Azide at 200ug/ml
Purified Ab with BSA and Azide at 200ug/ml
Purified Ab WITHOUT BSA and Azide at 1.0mg/ml

Price (USD)

219.00
499.00
499.00
img

Western Blot of A431, HeLa, Liver and Testis lysate using Ferritin, Light Chain Mouse Monoclonal Antibody (FTL/1386).

img

Western Blot Analysis of human HeLa cell lysate using Ferritin, Light Chain Mouse Monoclonal Antibody (FTL/1386).

img

SDS-PAGE Analysis Purified Ferritin, Light Chain Mouse Monoclonal Antibody (FTL/1386). Confirmation of Integrity and Purity of Antibody

img

Analysis of Protein Array containing more than 19,000 full-length human proteins using Ferritin, Light Chain Mouse Monoclonal Antibody (FTL/1386)

img

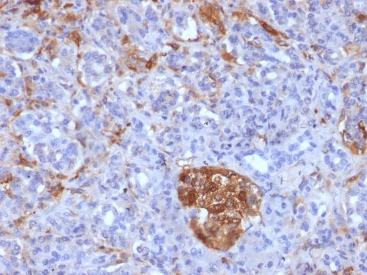
Formalin-fixed, paraffin-embedded Human Pancreas stained with Ferritin, Light Chain Mouse Monoclonal Antibody (FTL/1386).

img

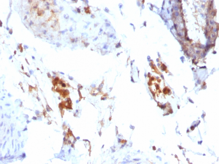
Formalin-fixed, paraffin-embedded Human Pancreas stained with Ferritin, Light Chain Mouse Monoclonal Antibody (FTL/1386).

img

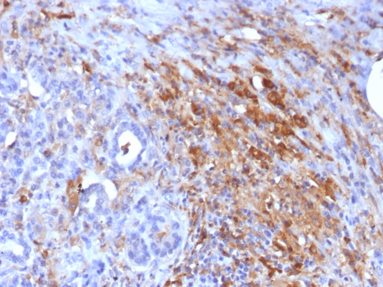
Formalin-fixed, paraffin-embedded Human Testicular Carcinoma stained with Ferritin, Light Chain Mouse Monoclonal Antibody (FTL/1386).

img

Western Blot Analysis of human kidney tissue lysate using Ferritin, Light Chain Mouse Monoclonal Antibody (FTL/1386).

Product Details

Synonyms

Ferritin L chain; Ferritin L subunit; Ferritin light chain; Ferritin light polypeptide; FTL; LFTD; NBIA3

Positive Control

HepG2, HeLa, HL-60 or 293T cells. Pancreas, Liver, Kidney, Cerebellum or Testis.

Known Applications & Suggested Dilutions

ELISA, Western Blot, Immunohistology         More Details

ELISA (For coating, order Ab without BSA)
Western Blot (1-2ug/ml)
Immunohistology (Formalin-fixed) (0.25-0.5ug/ml for 30 min at RT) (Staining of formalin-fixed tissues requires boiling tissue sections in 10mM Citrate Buffer, pH 6.0, for 10-20 min followed by cooling at RT for 20 minutes) Optimal dilution for a specific application should be determined.

Immunogen

Recombinant fragment (around aa 38-165) of human FTL protein (exact sequence is proprietary)

Cellular Localization

Cytoplasmic

Species Reactivity

Human.

Host / Ig Isotype

Mouse / IgG2b, kappa

Mol. Weight of Antigen

19-25kDa

Specificity & Comments

Mammalian ferritins consist of 24 subunits made up of 2 types of polypeptide chains, ferritin heavy chain and ferritin light chain. Ferritin heavy chains catalyze the first step in iron storage, the oxidation of Fe (II), whereas ferritin light chains promote the nucleation of ferrihydrite, enabling storage of Fe (III). Light chain ferritin is involved in cataracts by at least two mechanisms, hereditary hyperferritinemia cataract syndrome, in which light chain ferritin is overexpressed, and oxidative stress, an important factor in the development of ageing-related cataracts.

Related Products



200ug/ml of Ab Purified from Bioreactor Concentrate by Protein A/G. Prepared in 10mM PBS with 0.05% BSA & 0.05% azide. Also available WITHOUT BSA & azide at 1.0mg/ml.

Key References

  1. Jezequel P, et. al. Validation of tumor-associated macrophage ferritin light chain as a prognostic biomarker in node-negative breast cancer tumors: A multicentric 2004 national PHRC study Int. J Cancer. 2012;131(2):426-37.
  2. Y. Kaneko, T. Kitamoto, J. Tateishi, K. Yamaguchi. Ferritin immunohistochemistry as a marker for microglia. Acta Neuropathologica. 1989, Volume 79; 129-136.

Bioinformatics

  •  Entrez Gene ID: 2512
  •  Gene Symbol: FTL
  •  SwissProt: P02792
  •  Chromosome Location: 19q13.33
  •  Unigene: 433670
NBT01386