2 Union Square, Union City, CA 94587
contact@NeoBiotechnologies.com
510-376-5603

Home >> Antibodies >> GP2 (Glycoprotein 2) / ZAP75

GP2 (Glycoprotein 2) / ZAP75

Recombinant Rabbit Monoclonal Antibody [Clone GP2/3134R]

Catalog #

Size

20 ug
100 ug
100 ug

Price (USD)

219.00
499.00
499.00

Formulation

Purified Ab with BSA and Azide at 200ug/ml
Purified Ab with BSA and Azide at 200ug/ml
Purified Ab WITHOUT BSA and Azide at 1.0mg/ml

Catalog No

Size

20 ug
100 ug
100 ug

Formulation

Purified Ab with BSA and Azide at 200ug/ml
Purified Ab with BSA and Azide at 200ug/ml
Purified Ab WITHOUT BSA and Azide at 1.0mg/ml

Price (USD)

219.00
499.00
499.00
img

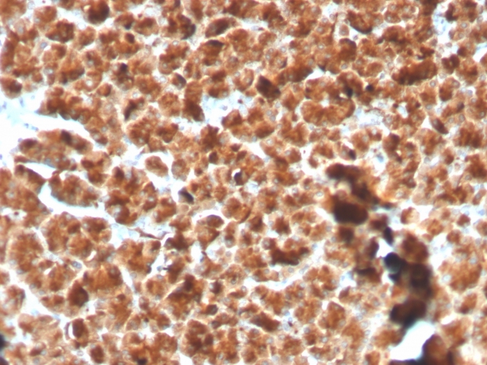
Formalin-fixed, paraffin-embedded human Pancreas stained with GP2 Recombinant Rabbit Monoclonal Antibody (GP2/3134R).

img

SDS-PAGE Analysis Purified GP2 Recombinant Rabbit Monoclonal Antibody (GP2/3134R). Confirmation of Purity and Integrity of Antibody.

img

Western Blot Analysis of human Pancreas tissue lysate using GP2 Recombinant Rabbit Monoclonal Antibody (GP2/3134R).

Product Details

Synonyms

Glycoprotein 2 (zymogen granule membrane); GP2; Pancreatic zymogen granule membrane associated protein GP2; Pancreatic zymogen granule membrane protein GP-2; ZAP75

Positive Control

PANC-1 cells. Pancreas.

Known Applications & Suggested Dilutions

ELISA, Western Blot, IHC-P         More Details

ELISA (Use Ab at 2-4ug/ml for coating) (Order Ab without BSA)
Western Blot (1-2ug/ml)
Immunohistochemistry (Formalin-fixed) (1-2ug/ml for 30 minutes at RT)(Staining of formalin-fixed tissues requires heating tissue sections in 10mM Tris with 1mM EDTA, pH 9.0, for 45 min at 95°C followed by cooling at RT for 20 minutes)
Optimal dilution for a specific application should be determined.

Immunogen

Recombinant fragment of human GP2 protein (around aa 35-179) (exact sequence is proprietary)

Cellular Localization

Cell Surface and Secreted

Species Reactivity

Human.

Host / Ig Isotype

Rabbit / IgG

Mol. Weight of Antigen

59kDa

Specificity & Comments

GP2 (glycoprotein 2), also known as ZAP75, is a 537 amino acid secreted protein. It is an integral membrane protein that is secreted from intracellular zymogen granules and associates with the plasma membrane via glycosylphosphatidylinositol (GPI) linkage. GP2 is cleaved and then released into the pancreatic duct along with exocrine secretions. GP2 binds pathogens such as enterobacteria, thereby playing an important role in the innate immune response. The C-terminus of this protein is related to the C-terminus of the protein encoded by the neighboring gene, uromodulin (UMOD). GP2 is also expressed on the apical plasma membrane of specialized microfold (M) cells among enterocytes and serves as a transcytotic receptor for mucosal antigens. M cells are considered a promising target for oral vaccination against various infectious diseases.

Related Products



200ug/ml of Ab Purified from Bioreactor Concentrate by Protein A/G. Prepared in 10mM PBS with 0.05% BSA & 0.05% azide. Also available WITHOUT BSA & azide at 1.0mg/ml.

Key References

  1. Fukuoka, S., et al. 1991. Proc. Natl. Acad. Sci. USA 88: 2898-2902.

Bioinformatics

  •  Entrez Gene ID: 2813
  •  Gene Symbol: GP2
  •  SwissProt: P55259
  •  Chromosome Location: 16p12
  •  Unigene: 53985
NBT03134