2 Union Square, Union City, CA 94587
contact@NeoBiotechnologies.com
510-376-5603

Home >> Antibodies >> Haptoglobin (HP)

Haptoglobin (HP)

Mouse Monoclonal Antibody [Clone HP/3835]

Catalog #

Size

20 ug
100 ug
100 ug

Price (USD)

219.00
499.00
499.00

Formulation

Purified Ab with BSA and Azide at 200ug/ml
Purified Ab with BSA and Azide at 200ug/ml
Purified Ab WITHOUT BSA and Azide at 1.0mg/ml

Catalog No

Size

20 ug
100 ug
100 ug

Formulation

Purified Ab with BSA and Azide at 200ug/ml
Purified Ab with BSA and Azide at 200ug/ml
Purified Ab WITHOUT BSA and Azide at 1.0mg/ml

Price (USD)

219.00
499.00
499.00
img

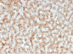
Formalin-fixed, paraffin-embedded human liver stained with Haptoglobin Mouse Monoclonal Antibody (HP/3835) at 2ug/ml.

img

Formalin-fixed, paraffin-embedded human liver stained with Haptoglobin Mouse Monoclonal Antibody (HP/3835) at 2ug/ml.

img

SDS-PAGE Analysis Purified Haptoglobin Mouse Monoclonal Antibody (HP/3835). Confirmation of Purity and Integrity of Antibody.

img

Analysis of Protein Array containing more than 19,000 full-length human proteins using Haptoglobin-Monospecific Mouse Monoclonal Antibody (HP/3835).

Product Details

Synonyms

Binding peptide (BP); Haptoglobin alpha chain / alpha(1S) beta; Haptoglobin alpha(2FS) beta; Haptoglobin beta chain; Haptoglobin, alpha polypeptide; Haptoglobin, beta polypeptide; HP; HP2 ALPHA2; HPA1S; HPT; MGC111141; Zonulin

Positive Control

Human liver.

Known Applications & Suggested Dilutions

IHC-P         More Details

Immunohistochemistry (Formalin-fixed) (1-2ug/ml for 30 minutes at RT)
(Staining of formalin-fixed tissues requires heating tissue sections in 10mM Tris with 1mM EDTA, pH 9.0, for 45 min at 95 °C followed by cooling at RT for 20 minutes)
Optimal dilution for a specific application should be determined.

Immunogen

Recombinant fragment (around aa100-250) of human HP protein (exact sequence is proprietary)

Cellular Localization

Secreted. Selective granular cytoplasmic expression in liver with distinct positivity in plasma and extracellular matrix.

Species Reactivity

Human.

Host / Ig Isotype

Mouse / IgG1, kappa

Mol. Weight of Antigen

15-18 kDa ( chain); 45kDa ( chain)

Specificity & Comments

Haptoglobin (Hp) is a blood plasma protein that functions to bind free Hemoglobin that has been released from erythrocytes, thereby inhibiting its oxidative activity. During this process, Haptoglobin sequesters the iron within Hemoglobin, preventing iron-utilizing bacteria from benefitting from hemolysis. This function suggests that Haptoglobin concentrations may increase in response to inflammation. The resulting Haptoglobin-Hemoglobin complex is then removed by the reticulo-endothelial system. Due to cleavage of a common precursor protein during protein synthesis, Haptoglobin consists of two a and two b chains, connected by disulfide bridges. In human, Haptoglobin exists in two allelic forms designated Haptoglobin 1 (Hp1) and Haptoglobin 2 (Hp2), where Hp2 is the result of a partial Hp1 gene duplication. There are three known phenotypes of human Haptoglobin: Hp1-1, Hp2-1 and Hp2-2, which may be associated with diabetes and cardiovascular disease pathology and a susceptibility to Parkinson s and Crohn s disease. Haptoglobin levels are useful in diagnosing hemolytic anemia, the abnormal breakdown of red blood cells. Haptoglobin is expressed in mammalian hepatocytes as well as other tissues such as skin, lung and kidney.

Related Products



200ug/ml of Ab purified from Bioreactor Concentrate by Protein A/G. Prepared in 10mM PBS with 0.05% BSA & 0.05% azide. Also available WITHOUT BSA & azide at 1.0mg/ml.

Key References

  1. Lee, C.C., et al. 2010. Expression of Haptoglobin predicts recurrence in head and neck squamous cell carcinoma. Clin. Chim. Acta 411: 1116-1121.

Bioinformatics

  •  Entrez Gene ID: 3240
  •  Gene Symbol: HP
  •  SwissProt: P00738
  •  Chromosome Location: 16q22.2
  •  Unigene: 513711, 702099