2 Union Square, Union City, CA 94587
contact@NeoBiotechnologies.com
510-376-5603

Home >> Antibodies >> HepPar-1 (Hepatocellular Marker)

HepPar-1 (Hepatocellular Marker)

Mouse Monoclonal Antibody [Clone HepPar1]

Catalog #

Size

20 ug
100 ug
100 ug

Price (USD)

219.00
499.00
499.00

Formulation

Purified Ab with BSA and Azide at 200ug/ml
Purified Ab with BSA and Azide at 200ug/ml
Purified Ab WITHOUT BSA and Azide at 1.0mg/ml

Catalog No

Size

20 ug
100 ug
100 ug

Formulation

Purified Ab with BSA and Azide at 200ug/ml
Purified Ab with BSA and Azide at 200ug/ml
Purified Ab WITHOUT BSA and Azide at 1.0mg/ml

Price (USD)

219.00
499.00
499.00
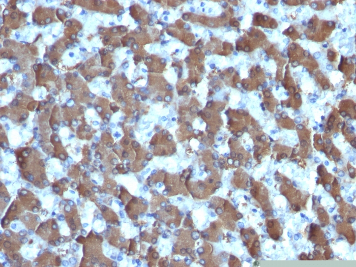
img

Formalin-fixed, paraffin-embedded human Hepatocellular Carcinoma stained with HepPar-1 Mouse Monoclonal Antibody (HepPar1).

img

Formalin-fixed, paraffin-embedded human Liver stained with HepPar-1 Mouse Monoclonal Antibody (HepPar1).

Product Details

Synonyms

Not Known

Positive Control

Liver or Hepatocellular Carcinoma (HCC).

Known Applications & Suggested Dilutions

IF, IHC-P         More Details

Immunofluorescence (1-2ug/ml)
Immunohistochemistry (Formalin-fixed) (0.25-0.5ug/ml for 30 minutes at RT)(Staining of formalin-fixed tissues requires heating tissue sections in 1mM EDTA, pH 7.5-8.5, for 45 min at 95°C followed by cooling at RT for 20 minutes)Optimal dilution for a specific application should be determined.

Immunogen

Extract of a formalin-fixed, rejected-allograft of a human liver

Cellular Localization

Finely granular cytoplasmic

Species Reactivity

Human. Dog.

Host / Ig Isotype

Mouse / IgG1, kappa

Mol. Weight of Antigen

Not Known

Specificity & Comments

Hepatocyte Paraffin 1 or HepPar1 localizes to the mitochondria of hepatocytes. It is a sensitive marker for distinguishing hepatocellular carcinomas (HCC) from other metastatic carcinomas as well as cholangio-carcinomas. HCC's occur primarily in the stomach, but they are also found in many other organs. The Hepatocyte Specific Antigen may also be a useful marker for intestinal metaplasia. Reportedly, strong expression of the Hepatocyte Specific Antigen correlates with smaller tumor size and longer patient survival. Occasionally, Hepatocyte Specific Antigen is also found in gastric carcinomas as well as in a few other non-hepatic tumors.

Related Products



200ug/ml of Ab Purified from Bioreactor Concentrate by Protein A/G. Prepared in 10mM PBS with 0.05% BSA & 0.05% azide. Also available WITHOUT BSA & azide at 1.0mg/ml.

Key References

  1. Ramos-Vara, J.A., et al. Histochem 2002; J. 34: 397-401.
  2. Wennerberg AE et. al. Am J Pathol 1993;143:1050-4.
  3. Fan, Z., et al. Mod. Pathol 2003; 16: 137-144, 2003.

Bioinformatics

NBT00966