2 Union Square, Union City, CA 94587
contact@NeoBiotechnologies.com
510-376-5603

Home >> Antibodies >> HIF1 alpha (Hypoxia-Inducible Factor 1-alpha)

HIF1 alpha (Hypoxia-Inducible Factor 1-alpha)

Mouse Monoclonal Antibody [Clone Ha111a]

Catalog #

Size

20 ug
100 ug
100 ug

Price (USD)

219.00
499.00
499.00

Formulation

Purified Ab with BSA and Azide at 200ug/ml
Purified Ab with BSA and Azide at 200ug/ml
Purified Ab WITHOUT BSA and Azide at 1.0mg/ml

Catalog No

Size

20 ug
100 ug
100 ug

Formulation

Purified Ab with BSA and Azide at 200ug/ml
Purified Ab with BSA and Azide at 200ug/ml
Purified Ab WITHOUT BSA and Azide at 1.0mg/ml

Price (USD)

219.00
499.00
499.00
img

Western Blot Analysis of human spleen tissue lysate using HIF1 alpha Mouse Monoclonal Antibody (Ha111a).

img

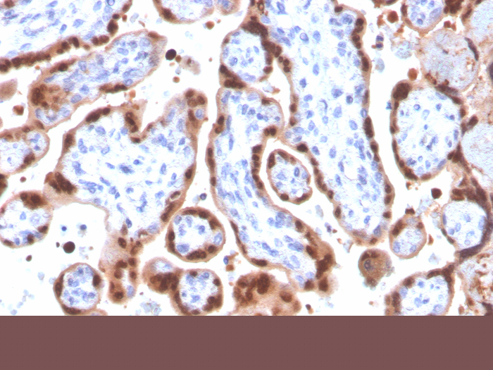
Formalin-fixed, paraffin-embedded human placenta stained with HIF1 alpha Mouse Monoclonal Antibody (Ha111a).

img

Formalin-fixed, paraffin-embedded human placenta stained with HIF1 alpha Mouse Monoclonal Antibody (Ha111a).

img

SDS-PAGE Analysis Purified HIF1 alpha Mouse Monoclonal Antibody (Ha111a). Confirmation of Purity and Integrity of Antibody.

img

Western Blot Analysis of U87 and A431 cell lysate using HIF1 alpha Mouse Monoclonal Antibody (Ha111a).

Product Details

Synonyms

ARNT-interacting protein; Basic-helix-loop-helix-PAS protein MOP1; Class E basic helix-loop-helix protein 78 (bHLHe78); Member of PAS superfamily 1 (MOP1); PAS domain-containing protein 8 (PASD8)

Positive Control

A431 or U87 cells. Cobalt chloride treated HeLa cells. Breast or bladder carcinomas.

Known Applications & Suggested Dilutions

ELISA, Western Blot, IHC-P         More Details

ELISA (For coating, order antibody without BSA)
Western Blot (1-2ug/ml)
Immunohistochemistry (Formalin-fixed) (1-2ug/ml for 30 minutes at RT)
(Staining of formalin-fixed tissues requires heating tissue sections in 10mM Tris with 1mM EDTA, pH 9.0, for 45 min at 95°C followed by cooling at RT for 20 minutes)
Optimal dilution for a specific application should be determined.

Immunogen

Recombinant fragment (aa 239-530) of human HIF-1 alpha protein.

Cellular Localization

Cytoplasm. Nucleus.

Species Reactivity

Human. Mouse. Chicken.

Host / Ig Isotype

Mouse / IgG2a, kappa

Mol. Weight of Antigen

92-110kDa

Specificity & Comments

HIF1 (hypoxia-inducible factor 1), a heterodimeric transcription factor complex central to cellular response to hypoxia, consists of two subunits (HIF-1 alpha and HIF-1 beta) which are basic helix-loop-helix proteins of the PAS (Per, ARNT, Sim) family. Expression of HIF-1 alpha protein is regulated by cellular oxygen level alterations as well as in oxygen-independent manner via different cytokines (through the PI3K-AKT-mTOR pathway), growth factors, oncogenic activation, or loss of tumor suppressor function etc. In normoxic cells, HIF-1 alpha is proline hydroxylated leading to a conformational change that promotes its binding to the VLH (von Hippel Lindau) protein E3 ligase complex; ubiquitination and followed by rapid proteasomal degradation. Hypoxia as well as chemical hydroxylase inhibitors (desferrioxamine, cobalt etc.) inhibit HIF-1 alpha degradation and lead to its accumulation in the cells, whereas, contrastingly, HIF-1 beta/ARNT (AhR nuclear translocator) remains stable under both conditions. Besides their critical role in hypoxic response, HIF1s regulates the transcription of genes responsible for angiogenesis, erythropoiesis/iron-metabolism, glucose metabolism, cell proliferation/survival, adipogenesis, carotid body formation, B lymphocyte development and immune reactions.

Related Products



200ug/ml of Ab purified from Bioreactor Concentrate by Protein A/G. Prepared in 10mM PBS with 0.05% BSA & 0.05% azide. Also available WITHOUT BSA & azide at 1.0mg/ml.

Key References

  1. Wang GL and Semenza GL. 1993. Proc. Natl. Acad. Sci. 90:4304.
  2. Li P, et al. MicroRNA-18a regulates invasive meningiomas via hypoxia-inducible factor-1a. Exp Ther Med 10:1165-1170 (2015).

Bioinformatics

  •  Entrez Gene ID: 3091
  •  Gene Symbol: HIF1A
  •  SwissProt: Q16665Human
  •  Chromosome Location: 14q23.2
  •  Unigene: 597216