2 Union Square, Union City, CA 94587
contact@NeoBiotechnologies.com
510-376-5603

Home >> Antibodies >> HLA-DRB (MHC II)

HLA-DRB (MHC II)

Mouse Monoclonal Antibody [Clone LN-3]

Catalog #

Size

20 ug
100 ug
100 ug

Price (USD)

219.00
499.00
499.00

Formulation

Purified Ab with BSA and Azide at 200ug/ml
Purified Ab with BSA and Azide at 200ug/ml
Purified Ab WITHOUT BSA and Azide at 1.0mg/ml

Catalog No

Size

20 ug
100 ug
100 ug

Formulation

Purified Ab with BSA and Azide at 200ug/ml
Purified Ab with BSA and Azide at 200ug/ml
Purified Ab WITHOUT BSA and Azide at 1.0mg/ml

Price (USD)

219.00
499.00
499.00
img

Formalin-fixed, paraffin-embedded human histiocytoma stained with HLA-DR Monoclonal Antibody (LN-3).

img

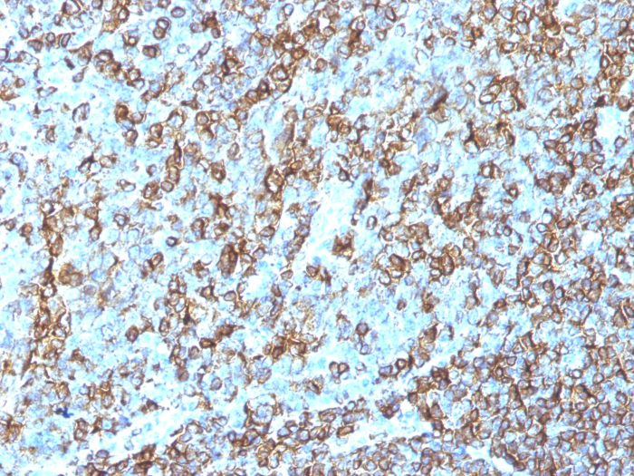
Formalin-fixed, paraffin-embedded human tonsil stained with HLA-DRB Monoclonal Antibody (LN-3).

img

Western Blot Analysis of Ramos cell and human spleen lysate using HLA-DR Mouse Monoclonal Antibody (LN-3).

img

Immunofluorescent staining of Raji cells. HLA-DR Mouse Monoclonal Antibody (LN-3) labeled with CF594 (green) The nuclear counterstain is RedDot (red).

img

Flow Cytometric Analysis of Raji cells. HLA-DR Mouse Monoclonal Antibody (LN-3) followed by goat anti-mouse IgG-CF488 (blue); isotype control (red).

img

Western Blot Analysis of Ramos cell lysate using HLA-DR Mouse Monoclonal Antibody (LN-3).

img

Immunofluorescence staining of Ramos cells. HLA-DR Mouse Monoclonal Antibody (LN-3) followed by goat anti-mouse IgG-CF488 (green). Nuclei counterstain is RedDot.

img

SDS-PAGE Analysis Purified HLA-DR Mouse Monoclonal Antibody (LN-3). Confirmation of Integrity and Purity of Antibody.

Product Details

Synonyms

DRB1; HLA class II histocompatibility antigen, DR-1 beta chain; HLA-DR-beta 1; HLA-DRB1; human leucocyte antigen DRB1; Leucocyte antigen DR beta 1 chain; lymphocyte antigen DRB1; major histocompatibility complex, class II, DR beta 1; MHC class II HLA-DR beta 1 chain; MHC class II HLA-DR-beta cell surface glycoprotein

Positive Control

Raji, Ramos, Daudi or HuT78 cells. Human lymphoid tissue.

Known Applications & Suggested Dilutions

ELISA, Flow Cyt, IF, Western Blot, IHC-P         More Details

ELISA (For coating, order antibody without BSA)
Flow Cytometry (1-2ug/million cells)
Immunofluorescence (1-2ug/ml)
Western Blot (1-2ug/ml)
Immunohistochemistry (Formalin-fixed) (1-2ug/ml for 30 minutes at RT)
(Staining of formalin-fixed tissues requires heating tissue sections in 10mM Tris with 1mM EDTA, pH 9.0, for 45 min at 95°C followed by cooling at RT for 20 minutes)
Optimal dilution for a specific application should be determined.

Immunogen

Activated human peripheral blood mononuclear cells

Cellular Localization

Cell Surface

Species Reactivity

Human. Monkey. Does not react with mouse.

Host / Ig Isotype

Mouse / IgG2b, kappa

Mol. Weight of Antigen

28kDa (beta chain)

Specificity & Comments

This MAb reacts with a 28kDa chain of HLA-DRB1 antigen, a member of MHC class II molecules.  It does not cross react with HLA-DP and HLA-DQ. The L243 antibody recognizes a different epitope than the LN3 monoclonal antibody, and these antibodies do not cross-block binding to each other's respective epitopes. HLA-DR is a heterodimeric cell surface glycoprotein comprised of a 36kDa alpha (heavy) chain and a 28kDa beta (light) chain. It is expressed on B-cells, activated T-cells, monocytes/macrophages, dendritic cells and other non-professional APCs. In conjunction with the CD3/TCR complex and CD4 molecules, HLA-DR is critical for efficient peptide presentation to CD4+ T cells. It is an excellent histiocytic marker in paraffin sections producing intense staining. True histiocytic neoplasms are similarly positive. HLA-DR antigens also occur on a variety of epithelial cells and their corresponding neoplastic counterparts. Loss of HLA-DR expression is related to tumor microenvironment and predicts adverse outcome in diffuse large B-cell lymphoma.

Related Products



200ug/ml of Ab purified from Bioreactor Concentrate by Protein A/G. Prepared in 10mM PBS with 0.05% BSA & 0.05% azide. Also available WITHOUT BSA & azide at 1.0mg/ml.

Key References

  1. Norton AJ and Isaacson PG. 1987. Am. J. Pathol. 128:225.2. Hua ZX, et al. 1998. Hum. Pathol. 29(12):1441.

Bioinformatics

  •  Entrez Gene ID: 3123
  •  Gene Symbol: HLA-DRB1
  •  SwissProt: P01911
  •  Chromosome Location: 6p21.3
  •  Unigene: 534322