2 Union Square, Union City, CA 94587
contact@NeoBiotechnologies.com
510-376-5603

Home >> Antibodies >> HSP90AB1 (Heat Shock Protein 90)

HSP90AB1 (Heat Shock Protein 90)

Mouse Monoclonal Antibody [Clone HSP90AB1/3951]

Catalog #

Size

20 ug
100 ug
100 ug

Price (USD)

219.00
499.00
499.00

Formulation

Purified Ab with BSA and Azide at 200ug/ml
Purified Ab with BSA and Azide at 200ug/ml
Purified Ab WITHOUT BSA or Azide at 1.0mg/ml

Catalog No

Size

20 ug
100 ug
100 ug

Formulation

Purified Ab with BSA and Azide at 200ug/ml
Purified Ab with BSA and Azide at 200ug/ml
Purified Ab WITHOUT BSA or Azide at 1.0mg/ml

Price (USD)

219.00
499.00
499.00
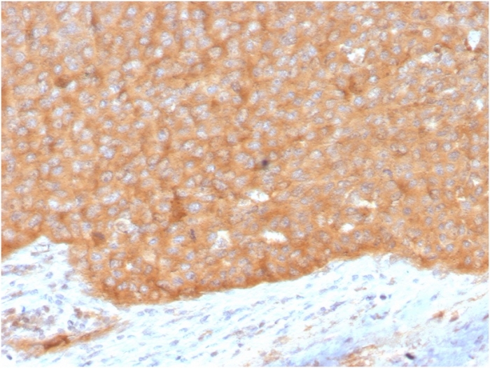
img

Formalin-fixed, paraffin-embedded human pancreas stained with HSP90AB1 Mouse Monoclonal Antibody (HSP90AB1/3951).

img

Western blot analysis of MCF-7 cell lysate using HSP90AB1 Mouse Monoclonal Antibody (HSP90AB1/3951).

img

Analysis of Protein Array containing more than 19,000 full-length human proteins using HSP90AB1 Mouse Monoclonal Antibody (HSP90AB1/3951).

Product Details

Synonyms

HSP84; HSPC2; HSPCB; D6S182; HSP90B

Positive Control

Human spleen, stomach or pancreas tissue. MCF-7 cells.

Known Applications & Suggested Dilutions

Western Blot, IHC-P         More Details

Western Blot (1-2ug/ml)
Immunohistochemistry (Formalin-fixed) (1-2ug/ml for 30 minutes at RT)
(Staining of formalin-fixed tissues requires heating tissue sections in 10mM Tris with 1mM EDTA, pH 9.0, for 45 min at 95 °C followed by cooling at RT for 20 minutes)
Optimal dilution for a specific application should be determined.

Immunogen

Recombinant human HSP90AB1 protein fragment (around aa581-704) (exact sequence is proprietary)

Cellular Localization

Cytoplasm

Species Reactivity

Human

Host / Ig Isotype

Mouse / IgG1, kappa

Mol. Weight of Antigen

90kDa

Specificity & Comments

This gene encodes a member of the heat shock protein 90 family; these proteins are involved in signal transduction, protein folding and degradation and morphological evolution. This gene encodes the constitutive form of the cytosolic 90 kDa heat-shock protein and is thought to play a role in gastric apoptosis and inflammation. Alternative splicing results in multiple transcript variants. Pseudogenes have been identified on multiple chromosomes.

Related Products



200ug/ml of Ab purified from Bioreactor Concentrate by Protein A/G. Prepared in 10mM PBS with0.05% BSA & 0.05% azide. Also available WITHOUT BSA at 1.0mg/ml.

Key References

  1. J, Cui S, et al. (2013) High Expression of Heat Shock Protein 90 Is Associated with Tumor Aggressiveness and Poor Prognosis in Patients with Advanced Gastric Cancer. PLoS ONE 8(4): e62876.

Bioinformatics

  •  Entrez Gene ID: 3326
  •  Gene Symbol: HSP90AB1
  •  SwissProt: P08238
  •  Chromosome Location: 6p21.1
  •  Unigene: 509736