2 Union Square, Union City, CA 94587
contact@NeoBiotechnologies.com
510-376-5603

Home >> Antibodies >> ICOS-L / ICOS Ligand / B7RP-1 (Immuno-Oncology Target)

ICOS-L / ICOS Ligand / B7RP-1 (Immuno-Oncology Target)

Mouse Monoclonal Antibody [Clone ICOSL/7700]

Catalog #

Size

20 ug
100 ug
100 ug

Price (USD)

219.00
499.00
499.00

Formulation

Purified Ab with BSA and Azide at 200ug/ml
Purified Ab with BSA and Azide at 200ug/ml
Purified Ab WITHOUT BSA and Azide at 1.0mg/ml

Catalog No

Size

20 ug
100 ug
100 ug

Formulation

Purified Ab with BSA and Azide at 200ug/ml
Purified Ab with BSA and Azide at 200ug/ml
Purified Ab WITHOUT BSA and Azide at 1.0mg/ml

Price (USD)

219.00
499.00
499.00
img

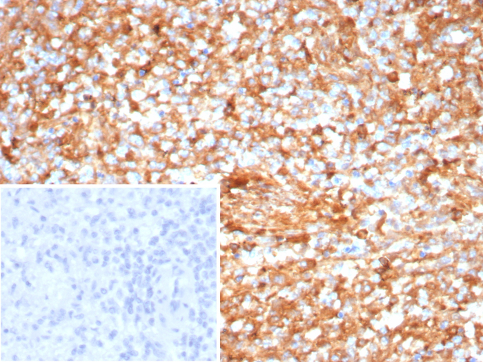
Formalin-fixed, paraffin-embedded human spleen stained with ICOS-L Mouse Monoclonal Antibody (ICOSL/7700). Inset: PBS instead of primary antibody; secondary only negative control.

img

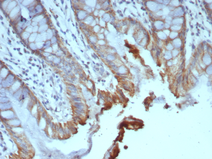
Formalin-fixed, paraffin-embedded human colon carcinoma stained with ICOS-L Mouse Monoclonal Antibody (ICOSL/7700). HIER: Tris/EDTA, pH9.0, 45min. 2°: HRP-polymer, 30min. DAB, 5min.

Product Details

Synonyms

B7 homolog 2 (B7H2); B7 like protein Gl50; B7 related protein 1 (B7RP1); CD275; CD275 antigen; GL50; ICOS LG; ICOS ligand (ICOSL); Inducible T cell co stimulator ligand; LICOS; Transmembrane protein B7 H2 ICOS ligand

Positive Control

U937, HL60, HuT78 or HUVEC lysates (WB). Human tonsil tissue (IHC).

Known Applications & Suggested Dilutions

IHC-P         More Details

Immunohistochemistry (Formalin-fixed) (1-2ug/ml for 30 minutes at RT)
(Staining of formalin-fixed tissues requires heating tissue sections in 10mM Tris with 1mM EDTA, pH 9.0, for 45 min at 95°C followed by cooling at RT for 20 minutes)
Optimal dilution for a specific application should be determined.

Immunogen

Recombinant fragment of human ICOSLG (B7RP-1) protein (around aa 1-300) (exact sequence is proprietary)

Cellular Localization

Cell Surface. Cytoplasm.

Species Reactivity

Human.

Host / Ig Isotype

Mouse / IgG2b, kappa

Mol. Weight of Antigen

36kDa

Specificity & Comments

This MAb recognizes a protein of 36kDa, identified as ICOS-L. It is a ligand for the ICOS receptor that initiates T and B cell proliferation and cytokine secretion. ICOS-L interactions play an essential role in T cell-dependent B cell activation in peripheral lymphoid organs such as spleen and lymph nodes. ICOS-L protein is present in myeloid leukocytes, and by Northern blot there are 2.4, 3.0, and 7.0 kb transcripts in brain, heart, kidney, and liver, with lower expression in colon and thymus, and a 1.1 kb transcript in leukocytes. Tumor necrosis factor alpha (TNF), granulocyte-macrophage colony-stimulating factor (GM-CSF) and interleukin-4 (IL-4) enhance its expression. LPS-induced up-regulation of ICOS-L is dependent on the MyD88-dependent signaling pathway.

Related Products



200ug/ml of Ab purified from Bioreactor Concentrate by Protein A/G. Prepared in 10mM PBS with 0.05% BSA & 0.05% azide. Also available WITHOUT BSA & azide at 1.0mg/ml.

Key References

  1. Yoshinaga, S.K., et al. 1999. T cell co-stimulation through B7RP-1 and ICOS. Nature 402: 827-832.
  2. Cao, Y., et al. 2018. Expression of B7-H2 on CD8+ T cells in colorectal cancer microenvironment and its clinical significance. Int Immunopharmacol 56: 128-13.

Bioinformatics

  •  Entrez Gene ID: 23308
  •  Gene Symbol: ICOSLG
  •  SwissProt: O75144
  •  Chromosome Location: 21q22.3
  •  Unigene: 14155