2 Union Square, Union City, CA 94587
contact@NeoBiotechnologies.com
510-376-5603

Home >> Antibodies >> INSM1 (Pan-Neuroendocrine Marker)

INSM1 (Pan-Neuroendocrine Marker)

Recombinant Rabbit Monoclonal Antibody [Clone INSM1/7992R]

Catalog #

Size

20 ug
100 ug
100 ug

Price (USD)

219.00
499.00
499.00

Formulation

Purified Ab with BSA and Azide at 200ug/ml
Purified Ab with BSA and Azide at 200ug/ml
Purified Ab WITHOUT BSA and Azide at 1.0mg/ml

Catalog No

Size

20 ug
100 ug
100 ug

Formulation

Purified Ab with BSA and Azide at 200ug/ml
Purified Ab with BSA and Azide at 200ug/ml
Purified Ab WITHOUT BSA and Azide at 1.0mg/ml

Price (USD)

219.00
499.00
499.00
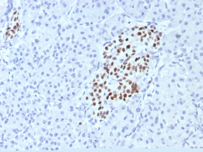
img

Formalin-fixed, paraffin-embedded human pancreas stained with INSM-1 Recombinant Rabbit Monoclonal Antibody (INSM1/7992R). HIER: Tris/EDTA, pH9.0, 45min. 2°: HRP-polymer, 30min. DAB, 5min.

Product Details

Synonyms

IA1; Insulinoma associated protein 1 (IA1); Zinc finger protein IA1

Positive Control

Human pancreas or neuroendocrine tumor.

Known Applications & Suggested Dilutions

IHC-P         More Details

Immunohistochemistry (Formalin-fixed) (1-2ug/ml for 30 minutes at RT)
(Staining of formalin-fixed tissues requires heating tissue sections in 10mM Tris with 1mM EDTA, pH 9.0, for 45 min at 95°C followed by cooling at RT for 20 minutes)
Optimal dilution for a specific application should be determined.

Immunogen

Recombinant fragment (around aa1-300) corresponding to the N-terminus of human INSM1

Cellular Localization

Nucleus.

Species Reactivity

Human.

Host / Ig Isotype

Rabbit / IgG, kappa

Mol. Weight of Antigen

58kDa

Specificity & Comments

Insulinoma-associated protein 1 (INSM1) is a developmentally regulated zinc-finger transcription factor. It localizes to the nucleus and is expressed in embryonic issues undergoing neuroendocrine differentiation. INSM1 is not expressed in normal adult tissues but can be found highly expressed in neuroendocrine tumors. INSM1 is positive in 95% of lung small cell carcinoma and 91% of lung large cell neuroendocrine carcinoma, compared with 75% and 78% with the combined panel of traditional neuroendocrine markers (synaptophysin, chromogranin, and CD56).INSM1 stains 100% of the atypical carcinoids, typical carcinoids and paragangliomas, but only 3% of adenocarcinomas and 4% of squamous cell carcinomas. Therefore, INSM1 is sensitive and specific to be a single first-line pan-neuroendocrine marker.

Related Products



200ug/ml of Ab purified from Bioreactor Concentrate by Protein A/G. Prepared in 10mM PBS with 0.05% BSA & 0.05% azide. Also available WITHOUT BSA & azide at 1.0mg/ml.

Key References

  1. Rosenbaum JN, et al. Am J Clin Pathol. 2015;144(4):579-91.
  2. Rooper LM, et al. Am J Surg Pathol. 2017;41:1561-1569.

Bioinformatics

  •  Entrez Gene ID: 3642
  •  Gene Symbol: INSM1
  •  SwissProt: Q01101
  •  Chromosome Location: 20p11.23
  •  Unigene: 89584