2 Union Square, Union City, CA 94587
contact@NeoBiotechnologies.com
510-376-5603

Home >> Antibodies >> L-PLUNC

L-PLUNC

Mouse Monoclonal Antibody [Clone LPLUNC1/3206]

Catalog #

Size

20 ug
100 ug
100 ug

Price (USD)

219.00
499.00
499.00

Formulation

Purified Ab with BSA and Azide at 200ug/ml
Purified Ab with BSA and Azide at 200ug/ml
Purified Ab WITHOUT BSA and Azide at 1.0mg/ml

Catalog No

Size

20 ug
100 ug
100 ug

Formulation

Purified Ab with BSA and Azide at 200ug/ml
Purified Ab with BSA and Azide at 200ug/ml
Purified Ab WITHOUT BSA and Azide at 1.0mg/ml

Price (USD)

219.00
499.00
499.00
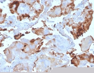
img

Formalin-fixed, paraffin-embedded human breast carcinoma stained with L-PLUNC Mouse Monoclonal Antibody (LPLUNC1/3206). HIER: Tris/EDTA, pH9.0, 45min. 2°: HRP-polymer, 30min. DAB, 5min.

img

Formalin-fixed, paraffin-embedded human breast carcinoma stained with L-PLUNC Mouse Monoclonal Antibody (LPLUNC1/3206). HIER: Tris/EDTA, pH9.0, 45min. 2°: HRP-polymer, 30min. DAB, 5min.

Product Details

Synonyms

BPI fold containing family B, member 1; Long palate, lung and nasal epithelium carcinoma associated protein 1 (Lplunc1); lung and nasal epithelium carcinoma-associated protein 1; VEMSGP; Von Ebner minor salivary gland protein

Positive Control

Human lung tissue. HeLa cells.

Known Applications & Suggested Dilutions

ELISA, Western Blot, IHC-P         More Details

ELISA (For coating, order antibody without BSA)
Western Blot (1-2ug/ml)
Immunohistochemistry (Formalin-fixed) (1-2ug/ml for 30 minutes at RT)
(Staining of formalin-fixed tissues requires heating tissue sections in 10mM Tris with 1mM EDTA, pH 9.0, for 45 min at 95 °C followed by cooling at RT for 20 minutes)
Optimal dilution for a specific application should be determined.

Immunogen

Recombinant full-length human BPIFB1 protein

Cellular Localization

Secreted

Species Reactivity

Human.

Host / Ig Isotype

Mouse / IgG

Mol. Weight of Antigen

25kDa

Specificity & Comments

The upper respiratory tract is the main place of entry for pathogens to invade the body, and early recognition of bacterial products in this region is crucial for host defense. Palate lung nasal epithelial clone PLUNC (or LUNX) is an airway specific secretory protein that is expressed in epithelial tissues and submucosal glands of the oral cavity and upper respiratory tract of humans, mice, rats and cows. PLUNC binds to lipopolysaccharide (LPS) in nasal lavage fluid (NLF) which points to its role in the inflammatory response of the upper airways after exposure to irritants. Decreased levels of PLUNC occur in the NLF of smokers and people who have been exposed to reactive epoxy chemicals, indicating that long-term exposure to airway irritants impairs the production of PLUNC in the upper respiratory tract. Abnormal expression of PLUNC may influence susceptibility to nasopharyngeal carcinoma in the Chinese population.

Related Products



200ug/ml of Ab purified from Bioreactor Concentrate by Protein A/G. Prepared in 10mM PBS with 0.05% BSA & 0.05% azide. Also available WITHOUT BSA & azide at 1.0mg/ml.

Key References

  1. J Immunol. 2011 Jul 1;187(1):382-90.

Bioinformatics

  •  Entrez Gene ID: 92747
  •  Gene Symbol: BPIFB1
  •  SwissProt: Q8TDL5
  •  Chromosome Location: 20q11.21
  •  Unigene: 65551