2 Union Square, Union City, CA 94587
contact@NeoBiotechnologies.com
510-376-5603

Home >> Antibodies >> Mesothelin (Mesothelial Marker)

Mesothelin (Mesothelial Marker)

Mouse Monoclonal Antibody [Clone MSLN/3385]

Catalog #

Size

20 ug
100 ug
100 ug

Price (USD)

219.00
499.00
499.00

Formulation

Purified Ab with BSA and Azide at 200ug/ml
Purified Ab with BSA and Azide at 200ug/ml
Purified Ab WITHOUT BSA and Azide at 1.0mg/ml

Catalog No

Size

20 ug
100 ug
100 ug

Formulation

Purified Ab with BSA and Azide at 200ug/ml
Purified Ab with BSA and Azide at 200ug/ml
Purified Ab WITHOUT BSA and Azide at 1.0mg/ml

Price (USD)

219.00
499.00
499.00
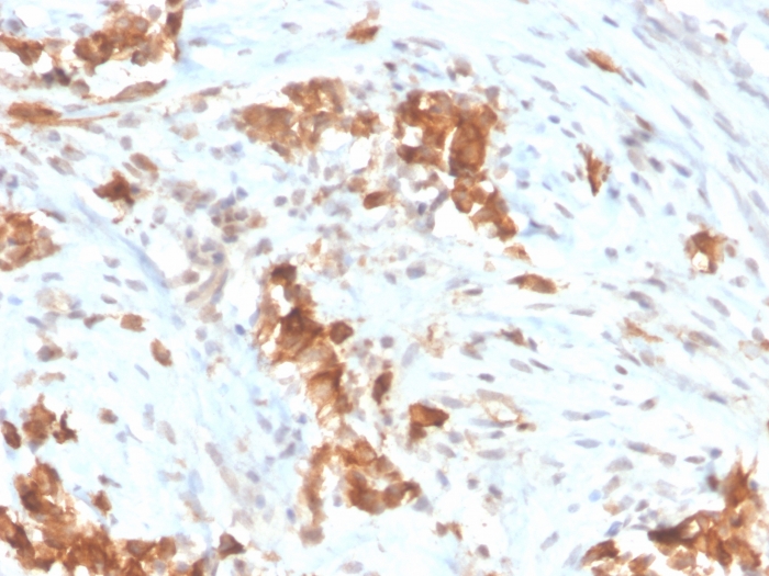
img

Formalin-fixed, paraffin-embedded human mesothelioma stained with Mesothelin Mouse Monoclonal Antibody (MSLN/3385).

img

SDS-PAGE Analysis Purified Mesothelin Mouse Monoclonal Antibody (MSLN/3385). Confirmation of Purity and Integrity of Antibody.

img

Analysis of Protein Array containing more than 19,000 full-length human proteins using Mesothelin-Monospecific Mouse Monoclonal Antibody (MSLN/3385).

Product Details

Synonyms

CAK1; Megakaryocyte potentiating factor; Mesothelin; MSLN; SMR; SMRP

Positive Control

CAPAN-2 or HeLa cells. Lung Mesothelioma.

Known Applications & Suggested Dilutions

IHC-P         More Details

Immunohistochemistry (Formalin-fixed) (1-2ug/ml for 30 minutes at RT)
(Staining of formalin-fixed tissues requires heating tissue sections in 10mM Tris with 1mM EDTA, pH 9.0, for 45 min at 95 °C followed by cooling at RT for 20 minutes)
Optimal dilution for a specific application should be determined.

Immunogen

Recombinant fragment (around aa 273-407) of human Mesothelin (MSLN) protein (exact sequence is proprietary)

Cellular Localization

Membranous for mesotheliomas. Cytoplasmic for carcinomas.

Species Reactivity

Human.

Host / Ig Isotype

Mouse / IgG2b, kappa

Mol. Weight of Antigen

40kDa (Mature form); 69kDa (Precursor)

Specificity & Comments

Mesothelin is a 40kDa glycosyl-phosphatidylinositol-anchored glycoprotein cleaved from a 69kDa precursor protein. Mesothelin immunoreactivity is high in cancers of the ovary (serous papillary, endometrioid and undifferentiated) and pancreas, with less frequent staining seen in adenocarcinomas of the endometrium, lung and stomach/esophagus. Mesothelin is one of the most sensitive markers for mesothelioma.

Related Products



200ug/ml of Ab purified from Bioreactor Concentrate by Protein A/G. Prepared in 10mM PBS with 0.05% BSA & 0.05% azide. Also available WITHOUT BSA & azide at 1.0mg/ml.

Key References

  1. Chang, K. and Pastan, I. 1996. Molecular cloning of Mesothelin, a differentiation antigen present on mesothelium, mesotheliomas, and ovarian cancers. Proc. Natl. Acad. Sci. USA 93: 136-140.

Bioinformatics

  •  Entrez Gene ID: 10232
  •  Gene Symbol: MSLN
  •  SwissProt: Q13421
  •  Chromosome Location: 16p13.3
  •  Unigene: 408488