2 Union Square, Union City, CA 94587
contact@NeoBiotechnologies.com
510-376-5603

Home >> Antibodies >> Occludin (OCLN) (Tight Junctions Marker)

Occludin (OCLN) (Tight Junctions Marker)

Mouse Monoclonal Antibody [Clone OCLN/2182]

Catalog #

Size

20 ug
100 ug
100 ug

Price (USD)

219.00
499.00
499.00

Formulation

Purified Ab with BSA and Azide at 200ug/ml
Purified Ab with BSA and Azide at 200ug/ml
Purified Ab WITHOUT BSA and Azide at 1.0mg/ml

Catalog No

Size

20 ug
100 ug
100 ug

Formulation

Purified Ab with BSA and Azide at 200ug/ml
Purified Ab with BSA and Azide at 200ug/ml
Purified Ab WITHOUT BSA and Azide at 1.0mg/ml

Price (USD)

219.00
499.00
499.00
img

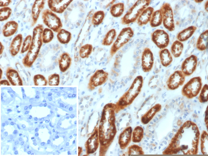
Formalin-fixed, paraffin-embedded human kidney stained with Occludin Mouse Monoclonal Antibody (OCLN/2182). Inset: PBS instead of primary antibody; secondary only negative control.

img

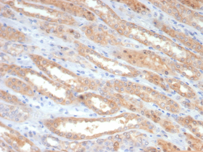
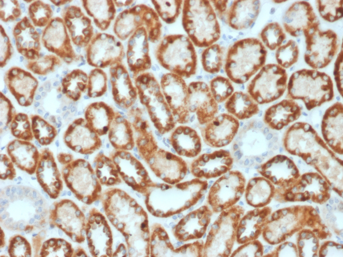
Formalin-fixed, paraffin-embedded human kidney stained with Occludin Mouse Monoclonal Antibody (OCLN/2182). HIER: Tris/EDTA, pH9.0, 45min. 2°: HRP-polymer, 30min. DAB, 5min.

img

Formalin-fixed, paraffin-embedded human kidney stained with Occludin Mouse Monoclonal Antibody (OCLN/2182). HIER: Tris/EDTA, pH9.0, 45min. 2°: HRP-polymer, 30min. DAB, 5min.

Product Details

Synonyms

BLCPMG; Occludin; OCLN; Phosphatase 1 regulatory subunit 115; PPP1R115; PTORCH1; Tight junction protein occludin

Positive Control

HepG2 cells. Human kidney.

Known Applications & Suggested Dilutions

IHC-P         More Details

Immunohistochemistry (Formalin-fixed) (1-2ug/ml for 30 minutes at RT)
(Staining of formalin-fixed tissues requires heating tissue sections in 10mM Tris with 1mM EDTA, pH 9.0, for 45 min at 95°C followed by cooling at RT for 20 minutes)
Optimal dilution for a specific application should be determined.

Immunogen

Recombinant human Occludin fragment around aa 282-415 (Exact sequence is proprietary)

Cellular Localization

Cell Surface. Cytoplasm.

Species Reactivity

Human.

Host / Ig Isotype

Mouse / IgG1, kappa

Mol. Weight of Antigen

60-82kDa

Specificity & Comments

Occludin is a tetraspan integral membrane protein in epithelial and endothelial tight junction (TJ) structures that can contain two extracellular loops. The protein exists in a variety of phosphorylated forms. Phosphorylation is involved in regulating both the localization and the function of Occludin. Expression of Occludin is upregulated by polyunsaturated fatty acids, increasing trans-endothelial cell resistance and reducing cellular permeability to large molecules. The level of Occludin varies greatly depending on tissue; in brain tissue, Occludin is highly expressed at cell-cell contact sites. Non-neural tissues show lower expression and discontinuous distribution. Up-regulation of epithelial Occludin may play a role in enhancing paracellular permeability and be related to the damage to the tight junction.

Related Products



200ug/ml of Ab purified from Bioreactor Concentrate by Protein A/G. Prepared in 10mM PBS with 0.05% BSA & 0.05% azide. Also available WITHOUT BSA & azide at 1.0mg/ml.

Key References

  1. Furuse, M., et al. 1993. Occludin: a novel integral membrane protein localizing at tight junctions. J. Cell Biol. 123: 1777-1788.

Bioinformatics

  •  Entrez Gene ID: 100506658
  •  Gene Symbol: OCLN
  •  SwissProt: Q16625
  •  Chromosome Location: 5q13.2
  •  Unigene: 592605