2 Union Square, Union City, CA 94587
contact@NeoBiotechnologies.com
510-376-5603

Home >> Antibodies >> OLIG2 (Marker of Glial Brain Tumors)

OLIG2 (Marker of Glial Brain Tumors)

Recombinant Rabbit Monoclonal Antibody [Clone OLIG2/7366R]

Catalog #

Size

20 ug
100 ug
100 ug

Price (USD)

219.00
499.00
499.00

Formulation

Purified Ab with BSA and Azide at 200ug/ml
Purified Ab with BSA and Azide at 200ug/ml
Purified Ab WITHOUT BSA and Azide at 1.0mg/ml

Catalog No

Size

20 ug
100 ug
100 ug

Formulation

Purified Ab with BSA and Azide at 200ug/ml
Purified Ab with BSA and Azide at 200ug/ml
Purified Ab WITHOUT BSA and Azide at 1.0mg/ml

Price (USD)

219.00
499.00
499.00
img

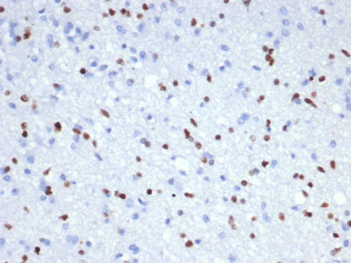
IHC analysis of FFPE human brain (RNA expression: 54.2 nTPM) stained with OLIG2 Recombinant Rabbit Monoclonal Antibody (OLIG2/7366R). HIER: Tris/EDTA, pH9.0, 45min. 2°: HRP-polymer, 30min. DAB, 5min.

img

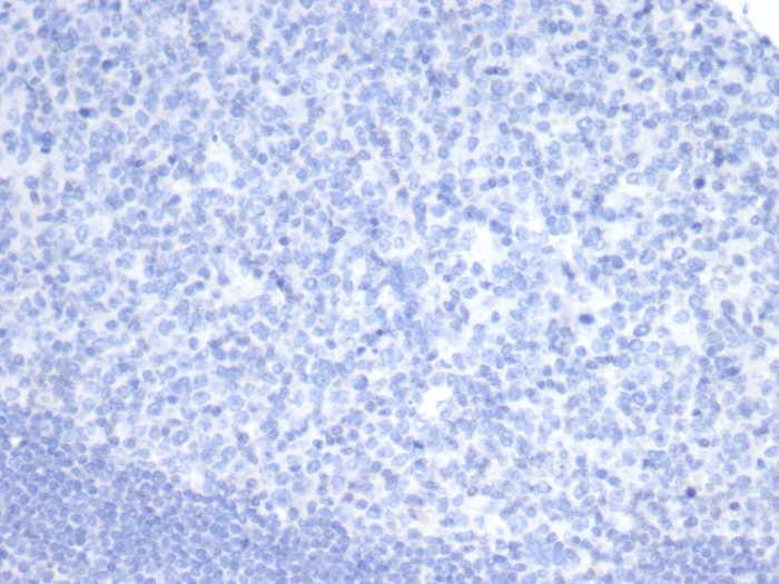
IHC analysis of FFPE human tonsil (RNA expression: 0.0 nTPM). Negative tissue control using OLIG2 Recombinant Rabbit Monoclonal (OLIG2/7366R). HIER: Tris/EDTA, pH9.0, 45min. 2°: HRP-polymer, 30min. DAB, 5min.

Product Details

Synonyms

Basic helix loop helix protein class B1 (bHLHB1); basic helix-loop-helix protein 19 (bHLHe19); OLIG2; Oligodendrocyte lineage transcription factor 2; Oligodendrocyte specific bHLH transcription factor 2; Oligodendrocyte transcription factor 2; Protein kinase C-binding protein 2 (PRKCBP2); RACK17

Positive Control

THP-1 cells. Human brain or astrocytoma.

Known Applications & Suggested Dilutions

IHC-P         More Details

Immunohistochemistry (Formalin-fixed) (1-2ug/ml for 30 minutes at RT)
(Staining of formalin-fixed tissues requires heating tissue sections in 10mM Tris with 1mM EDTA, pH 9.0, for 45 min at 95°C followed by cooling at RT for 20 minutes)
Optimal dilution for a specific application should be determined.

Immunogen

Recombinant fragment (around aa200-300) of human OLIG2 protein (exact sequence is proprietary)

Cellular Localization

Nucleus. Cytoplasm.

Species Reactivity

Human.

Host / Ig Isotype

Rabbit / IgG, kappa

Mol. Weight of Antigen

32kDa

Specificity & Comments

Olig2, a basic helix-loop-helix transcription factor, is involved in oligo-dendroglial specification. Olig2 expression has been reported in most glial tumors, such as oligodendrogliomas and astrocytomas. Although more than half of glioblastomas are positive for Olig2, expression is very weak in terms of both percentage of labeled cells and intensity. No Olig2 expression has been found in the non-glial tumors including neuroepithelial tumors, ependymomas, sub-ependymomas, medulloblastomas, and non-neuroepithelial tumors, such as CNS lymphomas, meningiomas, schwannomas, atypical teratoid/rhabdoid tumor, and haemangioblastomas. Compared to the strong staining seen in glioma samples, a weak expression is observed in non-tumoral brain tissue.

Related Products



200ug/ml of Ab purified from Bioreactor Concentrate by Protein A/G. Prepared in 10mM PBS with 0.05% BSA & 0.05% azide. Also available WITHOUT BSA & azide at 1.0mg/ml.

Key References

  1. Shou JW et al. Front Cell Neurosci 13:395 (2019). https://doi.org/10.3389/fncel.2019.00395
  2. Cho KHT et al. Sci Rep 10:6904 (2020). https://doi.org/10.1038/s41598-020-59902-7

Bioinformatics

  •  Entrez Gene ID: 10215
  •  Gene Symbol: OLIG2
  •  SwissProt: Q13516 
  •  Chromosome Location: 21q22.11
  •  Unigene: 176977