2 Union Square, Union City, CA 94587
contact@NeoBiotechnologies.com
510-376-5603

Home >> Antibodies >> P-glycoprotein / p170 / MDR1 / CD243

P-glycoprotein / p170 / MDR1 / CD243

Recombinant Rabbit Monoclonal Antibody [Clone MDR1/8986R]

Catalog #

Size

20 ug
100 ug
100 ug

Price (USD)

219.00
499.00
499.00

Formulation

Purified Ab with BSA and Azide at 200ug/ml
Purified Ab with BSA and Azide at 200ug/ml
Purified Ab WITHOUT BSA and Azide at 1.0mg/ml

Catalog No

Size

20 ug
100 ug
100 ug

Formulation

Purified Ab with BSA and Azide at 200ug/ml
Purified Ab with BSA and Azide at 200ug/ml
Purified Ab WITHOUT BSA and Azide at 1.0mg/ml

Price (USD)

219.00
499.00
499.00
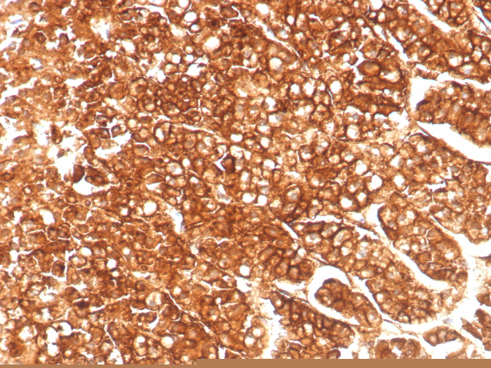
img

Formalin-fixed, paraffin-embedded human adrenal gland stained with MDR1 Recombinant Rabbit Monoclonal Antibody (MDR1/8986R). HIER: Tris/EDTA, pH9.0, 45min. 2°: HRP-polymer, 30min. DAB, 5min.

Product Details

Synonyms

ABC20; ABCB1; ATP-binding cassette sub-family B member 1; CD243; CLCS; Colchicin sensitivity; Doxorubicin resistance; GP170; Multidrug resistance protein 1 (MDR1); P-glycoprotein 1 (PGY1)

Positive Control

hPBL or Jurkat whole cell lysate. Human adrenal gland.

Known Applications & Suggested Dilutions

IHC-P         More Details

Immunohistochemistry (Formalin-fixed) (1-2ug/ml for 30 minutes at RT)
(Staining of formalin-fixed tissues requires heating tissue sections in 10mM Tris with 1mM EDTA, pH 9.0, for 45 min at 95°C followed by cooling at RT for 20 minutes)
Optimal dilution for a specific application should be determined.

Immunogen

Recombinant fragment (around aa500-700) of human ABCB1 protein (exact sequence is proprietary)

Cellular Localization

Membrane.

Species Reactivity

Human.

Host / Ig Isotype

Rabbit / IgG, kappa

Mol. Weight of Antigen

170kDa

Specificity & Comments

Cells selected for resistance to a single cytotoxic drug may become crossresistant to a broad range of drugs with different structures and cellular targets. This phenomenon is called multiple drug resistance (MDR). MDR proteins (Mdrs) are members of a highly conserved superfamily of ATP-binding cassette transport proteins. Mdr-1 is an apical transmembrane protein that is an integral part of the blood-brain barrier and functions as a drug-transport pump transporting a variety of drugs from the brain back into the blood. The Mdr-1 gene is known as ABCB1 and is located on human chromosome 7q21.12. The mouse homolog of Mdr-1 is known as Mdr-3. Interestingly, a murine protein by the name of Mdr-1 exists and is encoded by the murine Abcb1b gene, but it is not homologous with human Mdr-1.

Related Products



200ug/ml of Ab purified from Bioreactor Concentrate by Protein A/G. Prepared in 10mM PBS with 0.05% BSA & 0.05% azide. Also available WITHOUT BSA & azide at 1.0mg/ml.

Key References

  1. Tedder, T.F., et al. 1995. FASEB J. 10: 866-873.
  2. Lasky, L.A. 1995. Ann. Rev. Biochem. 64: 113-139.

Bioinformatics

  •  Entrez Gene ID: 5243
  •  Gene Symbol: ABCB1
  •  SwissProt: P08183
  •  Chromosome Location: 7q21.12
  •  Unigene: 489033