2 Union Square, Union City, CA 94587
contact@NeoBiotechnologies.com
510-376-5603

Home >> Antibodies >> pS2 / pNR-2 / TFF1 (Estrogen-Regulated Protein)

pS2 / pNR-2 / TFF1 (Estrogen-Regulated Protein)

Mouse Monoclonal Antibody [Clone SPM573]

Catalog #

Size

20 ug
100 ug
100 ug

Price (USD)

219.00
499.00
499.00

Formulation

Purified Ab with BSA and Azide at 200ug/ml
Purified Ab with BSA and Azide at 200ug/ml
Purified Ab WITHOUT BSA and Azide at 1.0mg/ml

Catalog No

Size

20 ug
100 ug
100 ug

Formulation

Purified Ab with BSA and Azide at 200ug/ml
Purified Ab with BSA and Azide at 200ug/ml
Purified Ab WITHOUT BSA and Azide at 1.0mg/ml

Price (USD)

219.00
499.00
499.00
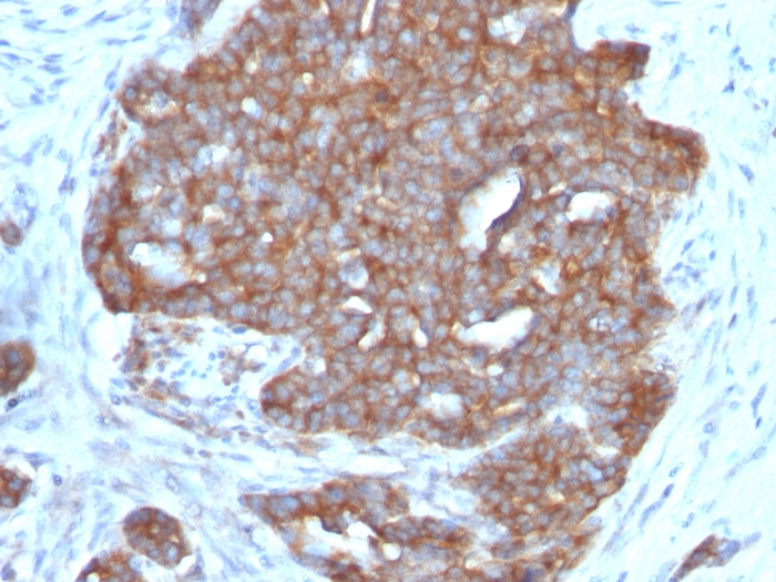
img

Formalin-fixed, paraffin-embedded human Ovarian Carcinoma stained with pS2 Monoclonal Antibody (SPM313).

Product Details

Synonyms

BCEI, Breast Cancer Estrogen Inducible Protein, Gastrointestinal Trefoil Protein, Gastrointestinal trefoil protein pS2, HP1A, HPS2, pNR2, TFF1, Trefoil Factor 1

Positive Control

Breast or Ovarian carcinoma.

Known Applications & Suggested Dilutions

Flow Cyt, IF, IHC-P         More Details

Flow Cytometry (1-2ug/million cells)
Immunofluorescence (1-2ug/ml)
Immunohistochemistry (Formalin-fixed) (1-2ug/ml for 30 minutes at RT)(Staining of formalin-fixed tissues requires heating tissue sections in 10mM Tris with 1mM EDTA, pH 9.0, for 45 min at 95°C followed by cooling at RT for 20 minutes)
Optimal dilution for a specific application should be determined.

Immunogen

Synthetic peptide of 28 amino acid residues corresponding to CFDDTVRGVPWCFYPNTIDVPPEEECEF (aa57-84) from the C-terminus of human pS2.

Cellular Localization

Cytoplasmic

Species Reactivity

Human. Cynomolgus Monkey.

Host / Ig Isotype

Mouse / IgG1, kappa

Mol. Weight of Antigen

6.5kDa

Specificity & Comments

It recognizes a polypeptide of 6.5kDa, identified as pS2 estrogen-regulated protein. Its epitope is localized between aa57-84 of human pS2 protein. pS2 is a trefoil peptide. Trefoil peptides are protease resistant molecules secreted throughout the gut that play a role in mucosal healing. These peptides contain three intra-chain disulfide bonds, forming the trefoil motif, or P-domain. pS2 is known to form dimers and this dimerization is thought to play a role in its protective and healing properties. About 60% of breast carcinomas are positive for pS2. Staining is cytoplasmic, often with localization to the Golgi apparatus. pS2 is shown to be localized in normal stomach mucosa, gastric fluid, goblet cells in the colon and small intestine, and in ulcerations of the gastrointestinal tract. Several studies have shown that pS2 is primarily expressed in estrogen receptor-positive breast tumors and it may define a subset of estrogen-dependent tumors that displays an increased likelihood of response to endocrine therapy.

Related Products



200ug/ml of Ab Purified from Bioreactor Concentrate by Protein A/G. Prepared in 10mM PBS with 0.05% BSA & 0.05% azide. Also available WITHOUT BSA & azide at 1.0mg/ml.

Key References

  1. Williams R, et. al. Human Pathology, 1996, 27(12):1259-66.

Bioinformatics

  •  Entrez Gene ID: 7031
  •  Gene Symbol: TFF1
  •  SwissProt: P04155
  •  Chromosome Location: 16p11.2
  •  Unigene: 162807
NBT00677