2 Union Square, Union City, CA 94587
contact@NeoBiotechnologies.com
510-376-5603

Home >> Antibodies >> S100A1 (Melanoma Marker)

S100A1 (Melanoma Marker)

Mouse Monoclonal Antibody [Clone S100A1/1942]

Catalog #

Size

20 ug
100 ug
100 ug

Price (USD)

219.00
499.00
499.00

Formulation

Purified Ab with BSA and Azide at 200ug/ml
Purified Ab with BSA and Azide at 200ug/ml
Purified Ab WITHOUT BSA and Azide at 1.0mg/ml

Catalog No

Size

20 ug
100 ug
100 ug

Formulation

Purified Ab with BSA and Azide at 200ug/ml
Purified Ab with BSA and Azide at 200ug/ml
Purified Ab WITHOUT BSA and Azide at 1.0mg/ml

Price (USD)

219.00
499.00
499.00
img

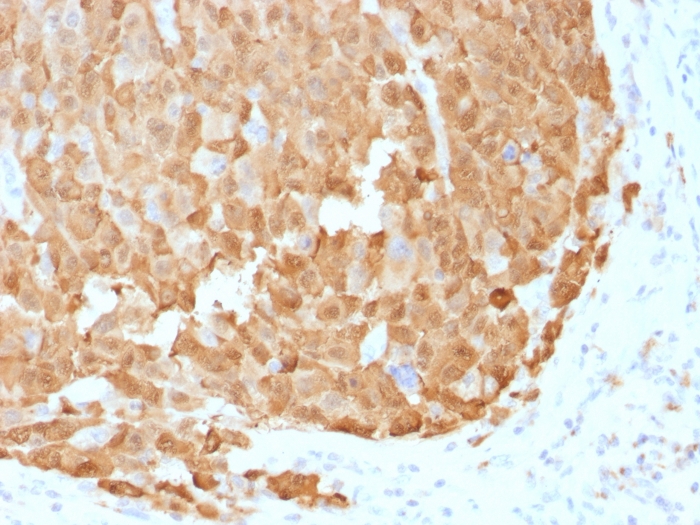
Formalin-fixed, paraffin-embedded human Melanoma stained with S100A1 Mouse Monoclonal Antibody (S100A1/1942).

img

SDS-PAGE Analysis Purified S100A1 Mouse Monoclonal Antibody (S100A1/1942). Confirmation of Purity and Integrity of Antibody.

img

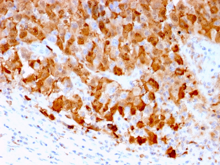
Formalin-fixed, paraffin-embedded human Melanoma stained with S100A1 Mouse Monoclonal Antibody (S100A1/1942).

img

Analysis of Protein Array containing more than 19,000 full-length human proteins using S100A1 Mouse Monoclonal Antibody (S100A1/1942).

Product Details

Synonyms

Bpb; NEF; S100-A1; S100 Alpha Chain; S100 Beta Chain; S100 Calcium Binding Protein A1; S100 Calcium Binding Protein B; S100 Calcium Binding Protein Beta Neural

Positive Control

A431 or HT-29 cells. Brain or Melanoma.

Known Applications & Suggested Dilutions

IHC         More Details

Immunohistochemistry (Formalin-fixed. Not suitable for frozen tissues.) (1-2ug/ml for 30 minutes at RT)(Staining of formalin-fixed tissues requires heating tissue sections in 10mM Tris with 1mM EDTA, pH 9.0, for 45 min at 95°C followed by cooling at RT for 20 minutes)
Optimal dilution for a specific application should be determined.

Immunogen

Recombinant human full-length S100A1 protein

Cellular Localization

Cytoplasmic

Species Reactivity

Human.

Host / Ig Isotype

Mouse / IgG1, kappa

Mol. Weight of Antigen

10-12kDa

Specificity & Comments

The specificity of this monoclonal antibody to its intended target was validated by HuProtTM Array, containing more than 19,000, full-length human proteins. S100 belongs to the family of calcium binding proteins. S100A and S100B proteins are two members of the S100 family. S100A is composed of an alpha and a beta chain whereas S100B is composed of two beta chains. This antibody is specific against an epitope located on the alpha-chain (i.e. in S-100A and S-100B) but not on the beta-chain of S-100 (i.e. in S-100B). This antibody can be used to localize S-100A in various tissue sections. S-100 protein has been found in normal melanocytes, Langerhans cells, histiocytes, chondrocytes, lipocytes, skeletal and cardiac muscle, epithelial and myoepithelial cells of the breast, salivary and sweat glands. Neoplasms derived from these cells also express S-100 protein. Almost all malignant melanomas and cases of histiocytosis X are positive for S-100 protein.

Related Products



200ug/ml of Ab Purified from Bioreactor Concentrate by Protein A/G. Prepared in 10mM PBS with 0.05% BSA & 0.05% azide. Also available WITHOUT BSA & azide at 1.0mg/ml.

Key References

  1. Vanstapel et al. 1986. Am J Clin Pathol. 85(2):160-8.
  2. Vanstapel et al. 1985. Lab Invest. 52(2):232-8.

Bioinformatics

  •  Entrez Gene ID: 6271
  •  Gene Symbol: S100A1
  •  SwissProt: P23297
  •  Chromosome Location: 1q21.3
  •  Unigene: 515715
NBT01942