2 Union Square, Union City, CA 94587
contact@NeoBiotechnologies.com
510-376-5603

Home >> Antibodies >> S100A11 (S100 calcium binding protein A11) / Calgizzarin

S100A11 (S100 calcium binding protein A11) / Calgizzarin

Mouse Monoclonal Antibody [Clone S100A11/7392]

Catalog #

Size

20 ug
100 ug
100 ug

Price (USD)

219.00
499.00
499.00

Formulation

Purified Ab with BSA and Azide at 200ug/ml
Purified Ab with BSA and Azide at 200ug/ml
Purified Ab WITHOUT BSA and Azide at 1.0mg/ml

Catalog No

Size

20 ug
100 ug
100 ug

Formulation

Purified Ab with BSA and Azide at 200ug/ml
Purified Ab with BSA and Azide at 200ug/ml
Purified Ab WITHOUT BSA and Azide at 1.0mg/ml

Price (USD)

219.00
499.00
499.00
img

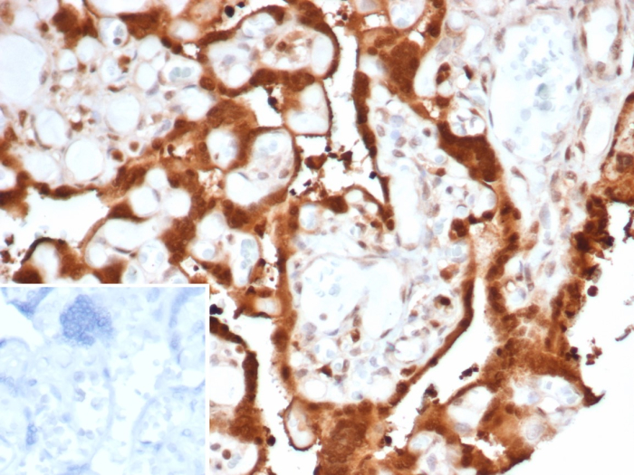
Formalin-fixed, paraffin-embedded human placenta stained with S100A11 Mouse Monoclonal Antibody (S100A11/7392). Inset: PBS instead of primary antibody; secondary only negative control.

img

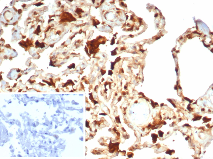
Formalin-fixed, paraffin-embedded human lung stained with S100A11 Mouse Monoclonal Antibody (S100A11/7392). Inset: PBS instead of primary antibody; secondary only negative control.

Product Details

Synonyms

Epididymis secretory protein Li 43; HEL S 43; Metastatic lymph node gene 70 (MLN70) protein; Protein S100-A11, N-terminally processed; Protein S100-C; Protein S100A11; Protein S100C; S100 calcium binding protein A11; S100a11; S100C

Positive Control

Human ovarian carcinoma or thyroid carcinoma.

Known Applications & Suggested Dilutions

IHC-P         More Details

Immunohistochemistry (Formalin-fixed) (1-2ug/ml for 30 minutes at RT)
(Staining of formalin-fixed tissues requires heating tissue sections in 10mM Tris with 1mM EDTA, pH 9.0, for 45 min at 95°C followed by cooling at RT for 20 minutes)
Optimal dilution for a specific application should be determined.

Immunogen

Recombinant full-length human S100A11 protein

Cellular Localization

Cytoplasm. Nucleus.

Species Reactivity

Human.

Host / Ig Isotype

Mouse / IgG1, kappa

Mol. Weight of Antigen

11kDa

Specificity & Comments

Calgizzarin is a Ca2+-binding protein of the S100 family. The proteins comprising the S-100 protein family have two EF-hand structures per molecule of protein. Expression of these family members occurs primarily in neurons or retinal photoreceptor cells, and may also be involved in a wide variety of cellular functions including cell growth, cell-cell communication, energy metabolism and intracellular signal transduction. They have also been linked to various pathologies, including Alzheimer s disease, schizophrenia and cancer. Calgizzarin is highly expressed in lung tissue and is also expressed in kidney, liver, brain, heart and smooth muscle. It is an important androgen-responsive protein produced by Sertoli cells and might play a role in spermatogenesis regulation.

Related Products



200ug/ml of Ab purified from Bioreactor Concentrate by Protein A/G. Prepared in 10mM PBS with 0.05% BSA & 0.05% azide. Also available WITHOUT BSA & azide at 1.0mg/ml.

Key References

  1. Qian, Jingfeng et al. Overexpression of S100A11 in human serous ovarian carcinoma. Oncology letters vol. 11,2 (2016): 1113-1119. doi:10.3892/ol.2015.3984

Bioinformatics

  •  Entrez Gene ID: 6282
  •  Gene Symbol: S100A11
  •  SwissProt: P31949
  •  Chromosome Location: 1q21.3
  •  Unigene: 417004