2 Union Square, Union City, CA 94587
contact@NeoBiotechnologies.com
510-376-5603

Home >> Antibodies >> S100B (Astrocyte and Melanoma Marker)

S100B (Astrocyte and Melanoma Marker)

Mouse Monoclonal Antibody [Clone S100B/1012]

Catalog #

Size

20 ug
100 ug
100 ug

Price (USD)

219.00
499.00
499.00

Formulation

Purified Ab with BSA and Azide at 200ug/ml
Purified Ab with BSA and Azide at 200ug/ml
Purified Ab WITHOUT BSA and Azide at 1.0mg/ml

Catalog No

Size

20 ug
100 ug
100 ug

Formulation

Purified Ab with BSA and Azide at 200ug/ml
Purified Ab with BSA and Azide at 200ug/ml
Purified Ab WITHOUT BSA and Azide at 1.0mg/ml

Price (USD)

219.00
499.00
499.00
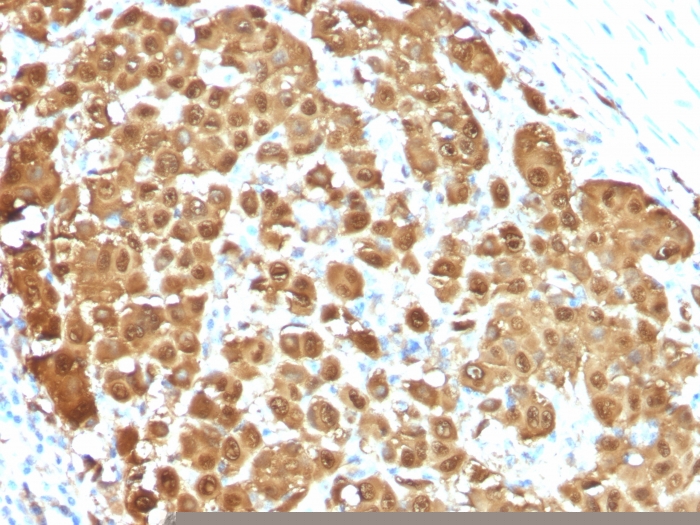
img

Formalin-fixed, paraffin-embedded human Melanoma stained with S100B Mouse Monoclonal Antibody (S100B/1012).

img

Formalin-fixed, paraffin-embedded human Schwanoma stained with S100B Mouse Monoclonal Antibody (S100B/1012).

img

Confocal Immunofluorescent analysis of A2058 cells using AF488-labeled S100B Monoclonal Antibody (S100B/1012) (Green). F-actin filaments were labeled with DyLight 554 Phalloidin (red). DAPI was used to stain the cell nuclei (blue).

img

Confocal Immunofluorescent analysis of A2058 cells using AF488-labeled Isotype Control Monoclonal Antibody (IgG2a) (Green). F-actin filaments were labeled with DyLight 554 Phalloidin (red). DAPI was used to stain the cell nuclei (blue). (Negative Control)

img

SDS-PAGE Analysis S100B Mouse Monoclonal Antibody (S100B/1012). Confirmation of Integrity and Purity of Antibody.

img

Analysis of Protein Array containing more than 19,000 full-length human proteins using S100B Mouse Monoclonal Antibody (S100B/1012)

Product Details

Synonyms

NEF; Protein S100-B; S-100 protein beta chain; S100 calcium binding protein beta (neural); S100 calcium-binding protein B; S100 protein beta chain; S100B; S100beta

Positive Control

Brain, Melanoma.

Known Applications & Suggested Dilutions

Flow Cyt, IF, Western Blot, IHC-P         More Details

Flow Cytometry (1-2ug/million cells)
Immunofluorescence (1-2ug/ml)
Western Blot (1-2ug/ml)
Immunohistochemistry (Formalin-fixed) (0.25-0.5ug/ml for 30 minutes at RT),(Staining of formalin-fixed tissues requires heating tissue sections in 10mM Tris with 1mM EDTA, pH 9.0, for 45 min at 95°C followed by cooling at RT for 20 minutes)
Optimal dilution for a specific application should be determined.

Immunogen

Recombinant full-length human S100B protein

Cellular Localization

Cytoplasmic

Species Reactivity

Human. Mouse. Rat. Cow.

Host / Ig Isotype

Mouse / IgG2a, kappa

Mol. Weight of Antigen

10-12kDa

Specificity & Comments

The specificity of this monoclonal antibody to its intended target was validated by HuProtTM Array, containing more than 19,000, full-length human proteins. S100 belongs to the family of calcium binding proteins. S100A and S100B proteins are two members of the S100 family. S100A is composed of an alpha and a beta chain whereas S100B is composed of two beta chains. This antibody is specific against an epitope located on the beta-chain (i.e. in S-100A and S-100B) but not on the alpha-chain of S-100 (i.e. in S-100A and S100A0). This antibody can be used to localize S-100A and S-100B in various tissue sections. S-100 protein has been found in normal melanocytes, Langerhans cells, histiocytes, chondrocytes, lipocytes, skeletal and cardiac muscle, Schwann cells, epithelial and myoepithelial cells of the breast, salivary and sweat glands, as well as in glial cells. Neoplasms derived from these cells also express S-100 protein, albeit non-uniformly. A large number of well-differentiated tumors of the salivary gland, adipose and cartilaginous tissue, and Schwann cell-derived tumors express S-100 protein. Almost all malignant melanomas and cases of histiocytosis X are positive for S-100 protein.

Related Products



200ug/ml of Ab Purified from Bioreactor Concentrate by Protein A/G. Prepared in 10mM PBS with 0.05% BSA & 0.05% azide. Also available WITHOUT BSA & azide at 1.0mg/ml.

Key References

  1. Heizmann, C.W. 1988. Calcium-binding proteins of the EF-type. J. Cardiovasc. Pharmacol. 5: S30-S37.

Bioinformatics

  •  Entrez Gene ID: 6285
  •  Gene Symbol: S100B
  •  SwissProt: P04271
  •  Chromosome Location: 21q22.3
  •  Unigene: 422181
NBT01012