2 Union Square, Union City, CA 94587
contact@NeoBiotechnologies.com
510-376-5603

Home >> Antibodies >> Smooth Muscle Myosin Heavy Chain (SM-MHC)

Smooth Muscle Myosin Heavy Chain (SM-MHC)

Mouse Monoclonal Antibody [Clone MYH11/923]

Catalog #

Size

20 ug
100 ug
100 ug

Price (USD)

219.00
499.00
499.00

Formulation

Purified Ab with BSA and Azide at 200ug/ml
Purified Ab with BSA and Azide at 200ug/ml
Purified Ab WITHOUT BSA and Azide at 1.0mg/ml

Catalog No

Size

20 ug
100 ug
100 ug

Formulation

Purified Ab with BSA and Azide at 200ug/ml
Purified Ab with BSA and Azide at 200ug/ml
Purified Ab WITHOUT BSA and Azide at 1.0mg/ml

Price (USD)

219.00
499.00
499.00
img

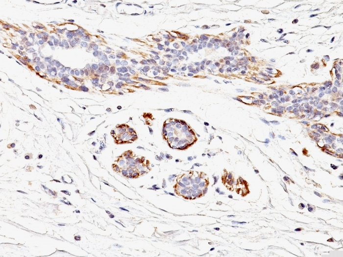
Formalin-fixed, paraffin-embedded human Breast Carcinoma stained with SM-MHC Mouse Monoclonal Antibody (MYH11/923).

img

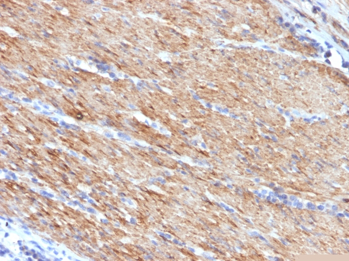
Formalin-fixed, paraffin-embedded human Leiomyosarcoma stained with SM-MHC Mouse Monoclonal Antibody (MYH11/923).

img

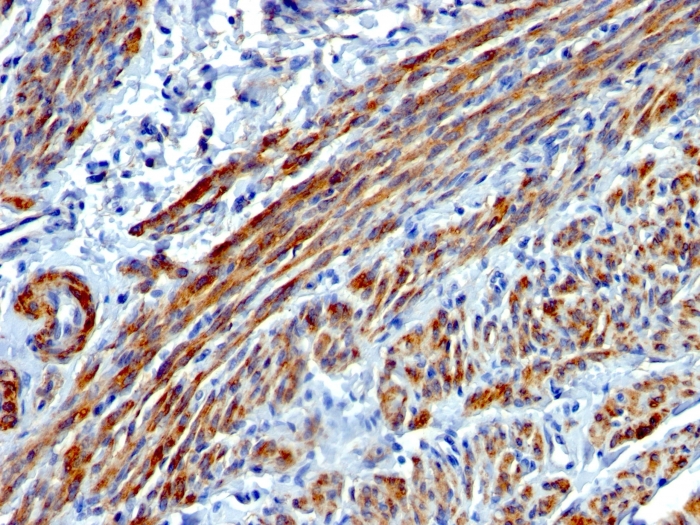
Formalin-fixed, paraffin-embedded human Colon Carcinoma stained with SM-MHC Mouse Monoclonal Antibody (MYH11/923).

img

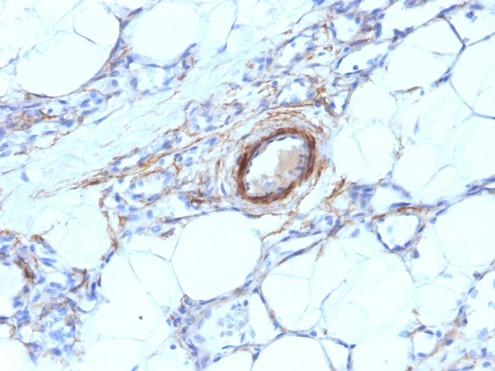
Formalin-fixed, paraffin-embedded human Angiosarcoma stained with SM-MHC Mouse Monoclonal Antibody (MYH11/923).

Product Details

Synonyms

AAT4; Myosin heavy chain 11 (MYH11); Myosin heavy chain 11 smooth muscle; Smooth muscle myosin heavy chain 11; Myosin-11; SM1; SM2; SMHC; SMMHC

Positive Control

Uterus or normal breast.

Known Applications & Suggested Dilutions

Flow Cyt, IF, IHC-P         More Details

Flow Cytometry (1-2ug/million cells)
Immunofluorescence (1-2ug/ml)
Immunohistochemistry (Formalin-fixed) (1-2ug/ml for 30 minutes at RT)(Staining of formalin-fixed tissues requires heating tissue sections in 10mM Tris with 1mM EDTA, pH 9.0, for 45 min at 95°C followed by cooling at RT for 20 minutes)
Optimal dilution for a specific application should be determined.

Immunogen

Recombinant full-length human MYH11 protein

Cellular Localization

Cytoplasmic

Species Reactivity

Human. Rat. Predicted to have broad species reactivity.

Host / Ig Isotype

Mouse / IgG1, kappa

Mol. Weight of Antigen

205kDa (MHC-1) and 200kDa (MHC-2)

Specificity & Comments

Smooth muscle myosin heavy chain (SM-MHC) is a cytoplasmic structural protein, which is a major component of the contractile apparatus in smooth muscle cells. Expression of smooth muscle myosin is developmentally regulated, appearing early in smooth muscle development, and is specific for smooth muscle development. Two isoforms of smooth muscle myosin heavy chain have been identified, designated MHC-1 and MHC-2. The antibody may be useful for the study of breast tumors as the presence of an intact layer of myoepithelial cells is an important feature, which may distinguish benign breast lesions and carcinoma in situ from invasive tumors.

Related Products



200ug/ml of Ab Purified from Bioreactor Concentrate by Protein A/G. Prepared in 10mM PBS with 0.05% BSA & 0.05% azide. Also available WITHOUT BSA & azide at 1.0mg/ml.

Key References

  1. N.P. Wang, B.C. Wan, M. Skelly, M.G. Frid, M.A. Glukhova, V.E. Koteliansky, A.M. Gown. Antibodies to novel myoepithelium-associated proteins distinguish benign lesions and in-situ- carcinoma from invasive carcinoma of the breast. Applied Immunohistochemistry 1997;5(3):141-151.

Bioinformatics

  •  Entrez Gene ID: 4629
  •  Gene Symbol: MYH11
  •  SwissProt: P35749
  •  Chromosome Location: 16p13.11
  •  Unigene: 460109
NBT00923