2 Union Square, Union City, CA 94587
contact@NeoBiotechnologies.com
510-376-5603

Home >> Antibodies >> TACSTD2 / TROP2 (Epithelial Marker)

TACSTD2 / TROP2 (Epithelial Marker)

Mouse Monoclonal Antibody [Clone TACSTD2/2152]

Catalog #

Size

20 ug
100 ug
100 ug

Price (USD)

219.00
499.00
499.00

Formulation

Purified Ab with BSA and Azide at 200ug/ml
Purified Ab with BSA and Azide at 200ug/ml
Purified Ab WITHOUT BSA and Azide at 1.0mg/ml

Catalog No

Size

20 ug
100 ug
100 ug

Formulation

Purified Ab with BSA and Azide at 200ug/ml
Purified Ab with BSA and Azide at 200ug/ml
Purified Ab WITHOUT BSA and Azide at 1.0mg/ml

Price (USD)

219.00
499.00
499.00
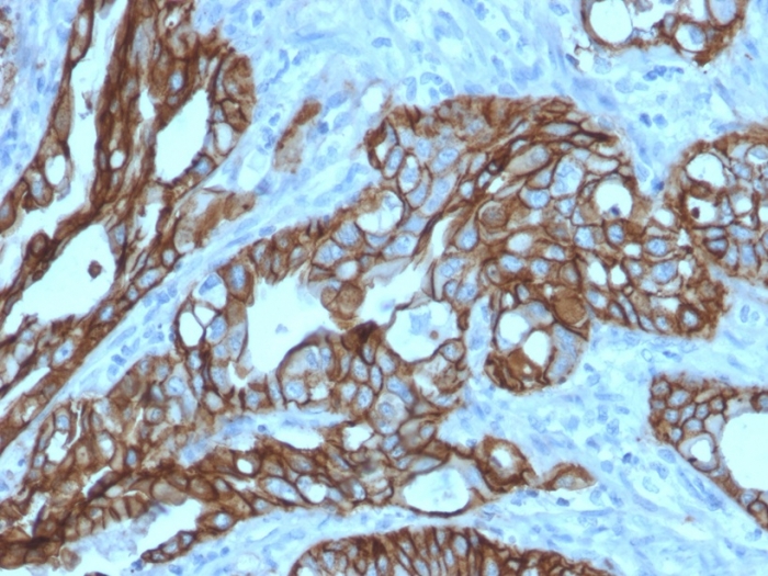
img

Formalin-fixed, paraffin-embedded human colon carcinoma stained with TACSTD2 / TROP2 Mouse Monoclonal Antibody (TACSTD2/2152).

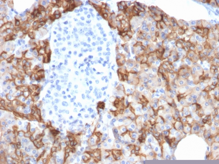
img

Formalin-fixed, paraffin-embedded human pancreatic carcinoma stained with TACSTD2 / TROP2 Mouse Monoclonal Antibody (TACSTD2/2152).

img

Formalin-fixed, paraffin-embedded human pancreatic carcinoma stained with TACSTD2 / TROP2 Mouse Monoclonal Antibody (TACSTD2/2152).

img

SDS-PAGE Analysis Purified TACSTD2 / TROP2 Mouse Monoclonal Antibody (TACSTD2/2152). Confirmation of Integrity and Purity of Antibody.

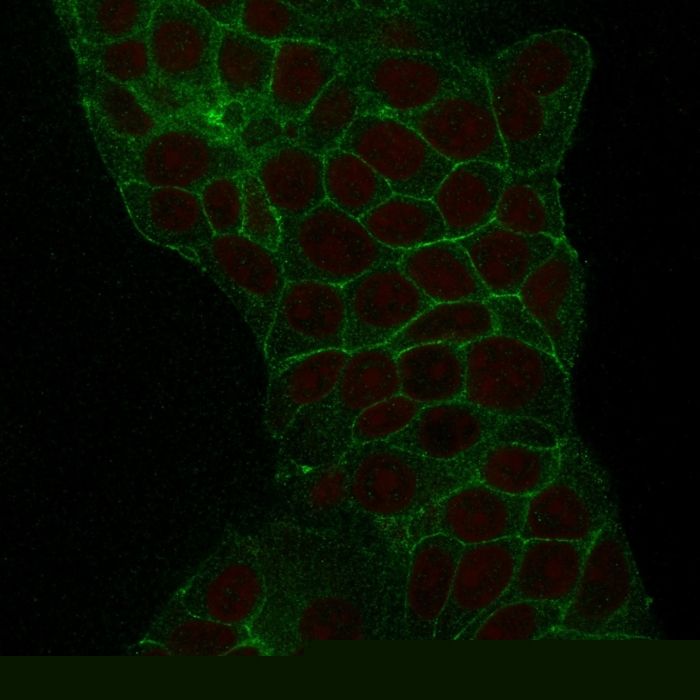
img

Confocal immunofluorescence of MeOH-fixed MCF-7 cells. TACSTD2 / TROP2 Mouse Monoclonal Antibody (TACSTD2/2152) labeled with CF488 (green); RedDot is used to label the nuclei.

img

Analysis of Protein Array containing >19,000 full-length human proteins using TACSTD2 Mouse Monoclonal Antibody (TACSTD2/2152)

Product Details

Synonyms

Cell surface glycoprotein Trop-2; Membrane Component Chromosome 1, Surface Marker 1 (M1S1); Pancreatic Carcinoma Marker Protein GA733-1; TROP2; Tumor-Associated Calcium Signal Transducer 2 (TACSTD2)

Positive Control

HT29 cells. Human breast or colon carcinoma.

Known Applications & Suggested Dilutions

IF, Western Blot, IHC-P         More Details

Immunofluorescence (1-2ug/ml)
Western Blot (1-2ug/ml)
Immunohistochemistry (Formalin-fixed) (1-2ug/ml for 30 minutes at RT)
(Staining of formalin-fixed tissues requires heating tissue sections in 10mM Tris with 1mM EDTA, pH 9.0, for 45 min at 95 °C followed by cooling at RT for 20 minutes)
Optimal dilution for a specific application should be determined.

Immunogen

Recombinant fragment of human TACSTD2 protein (around aa 31-274) (exact sequence is proprietary)

Cellular Localization

Cell Surface

Species Reactivity

Human.

Host / Ig Isotype

Mouse / IgG1, kappa

Mol. Weight of Antigen

40kDa

Specificity & Comments

TACSTD2 is a cell surface glycoprotein receptor. It is a single pass type I membrane protein containing one thyroglobulin type-1 domain, an epidermal growth factor-like repeat, a phosphatidylinositol binding site and tyrosine phosphorylation sites near the C-terminus. It plays a role in transducing intracellular calcium signals. It is expressed in trophoblast cells, cornea and multi-stratified epithelia. It is also highly expressed in several types of tumors and is involved in regulating the growth of carcinoma cells.

Related Products



200ug/ml of Ab purified from Bioreactor Concentrate by Protein A/G. Prepared in 10mM PBS with 0.05% BSA & 0.05% azide. Also available WITHOUT BSA & azide at 1.0mg/ml.

Key References

  1. Fornaro, M., et al. 1995. Cloning of the gene encoding Trop-2, a cell-surface glycoprotein expressed by human carcinomas. Int. J. Cancer 62: 610-618.

Bioinformatics

  •  Entrez Gene ID: 4070
  •  Gene Symbol: TACSTD2
  •  SwissProt: P09758
  •  Chromosome Location: 1p32.1
  •  Unigene: 23582