2 Union Square, Union City, CA 94587
contact@NeoBiotechnologies.com
510-376-5603

Home >> Antibodies >> TIMP2 (Tissue Inhibitor of Metalloproteinase 2)

TIMP2 (Tissue Inhibitor of Metalloproteinase 2)

Recombinant Rabbit Monoclonal Antibody [Clone TIMP2/8193R]

Catalog #

Size

20 ug
100 ug
100 ug

Price (USD)

219.00
499.00
499.00

Formulation

Purified Ab with BSA and Azide at 200ug/ml
Purified Ab with BSA and Azide at 200ug/ml
Purified Ab WITHOUT BSA and Azide at 1.0mg/ml

Catalog No

Size

20 ug
100 ug
100 ug

Formulation

Purified Ab with BSA and Azide at 200ug/ml
Purified Ab with BSA and Azide at 200ug/ml
Purified Ab WITHOUT BSA and Azide at 1.0mg/ml

Price (USD)

219.00
499.00
499.00
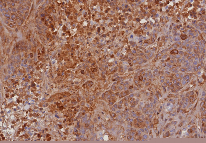
img

Formalin-fixed, paraffin-embedded human bladder carcinoma stained with TIMP2 Rabbit Recombinant Monoclonal Antibody (TIMP2/8193R). HIER: Tris/EDTA, pH9.0, 45min. 2: HRP-polymer, 30min. DAB, 5min.

img

IHC analysis of formalin-fixed, paraffin-embedded human brain. Negative tissue control using TIMP2/8193R at 2ug/ml in PBS for 30min RT. HIER: Tris/EDTA, pH9.0, 45min. 2: HRP-polymer, 30min. DAB, 5min.

Product Details

Synonyms

Metalloproteinase inhibitor 2; TIMP metallopeptidase inhibitor 2; TIMP-2; TIMP2; Tissue Inhibitor of Metalloproteinase 2

Positive Control

Normal Placenta, Prostate or Ovarian Carcinoma.

Known Applications & Suggested Dilutions

IHC-P         More Details

Immunohistochemistry (Formalin-fixed) (1-2ug/ml for 30 minutes at RT)
(Staining of formalin-fixed tissues requires heating tissue sections in 10mM Tris with 1mM EDTA, pH 9.0, for 45 min at 95°C followed by cooling at RT for 20 minutes)
Optimal dilution for a specific application should be determined.

Immunogen

Recombinant fragment of human TIMP2 protein (exact sequence is proprietary)

Cellular Localization

Cytoplasm. Cell surface.

Species Reactivity

Human.

Host / Ig Isotype

Rabbit / IgG, kappa

Mol. Weight of Antigen

21kDa

Specificity & Comments

It recognizes a protein of 21kDa, identified as tissue inhibitor of metalloproteinases-2 (TIMP-2). It is closely related to TIMP-1 and shows the highest binding affinity to both the latent (pro) and active forms of 72kDa Type IV collagenase (also known as MMP-2 or gelatinase A). It also has affinity for the active form of 92kDa Type IV collagenase (also known as MMP-9 or gelatinase B). TIMP-2 inhibits the proteolytic invasiveness of tumor cells and normal placental trophoblast cells.

Related Products



200ug/ml of Ab purified from Bioreactor Concentrate by Protein A/G. Prepared in 10mM PBS with 0.05% BSA & 0.05% azide. Also available WITHOUT BSA & azide at 1.0mg/ml.

Key References

  1. Murray et al. 1998. Gut. 43(6):791-7.
  2. Jeffery et al. 2009. Histopathology. 54(7):820-8

Bioinformatics

  •  Entrez Gene ID: 7077
  •  Gene Symbol: TIMP2
  •  SwissProt: P16035
  •  Chromosome Location: 17q25
  •  Unigene: 633514