2 Union Square, Union City, CA 94587
contact@NeoBiotechnologies.com
510-376-5603

Home >> Antibodies >> Topoisomerase (DNA) I, Mitochondrial (TOP1MT)

Topoisomerase (DNA) I, Mitochondrial (TOP1MT)

Mouse Monoclonal Antibody [Clone TOP1MT/613]

Catalog #

Size

20 ug
100 ug
100 ug

Price (USD)

219.00
499.00
499.00

Formulation

Purified Ab with BSA and Azide at 200ug/ml
Purified Ab with BSA and Azide at 200ug/ml
Purified Ab WITHOUT BSA and Azide at 1.0mg/ml

Catalog No

Size

20 ug
100 ug
100 ug

Formulation

Purified Ab with BSA and Azide at 200ug/ml
Purified Ab with BSA and Azide at 200ug/ml
Purified Ab WITHOUT BSA and Azide at 1.0mg/ml

Price (USD)

219.00
499.00
499.00
img

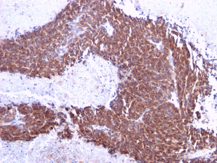
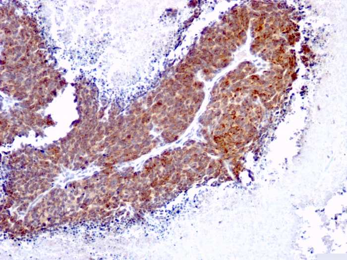
Formalin-fixed, paraffin-embedded human Melanoma stained with Topo I, MT Mouse Monoclonal Antibody (TOP1MT/613).

img

Western Blot Analysis of U87 cell lysate using Topo I, MT Mouse Monoclonal Antibody (TOPT/613).

img

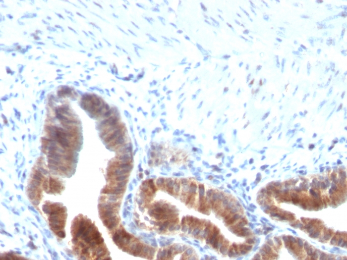
Formalin-fixed, paraffin-embedded human Gallbladder stained with Topo I, MT Mouse Monoclonal Antibody (TOP1MT/613).

img

Formalin-fixed, paraffin-embedded human Melanoma stained with Topo I, MT Mouse Monoclonal Antibody (TOP1MT/613).

img

SDS-PAGE Analysis Purified Topo I, MT Mouse Monoclonal Antibody (TOP1MT/613). Confirmation of Purity and Integrity of Antibody.

Product Details

Synonyms

DNA topoisomerase I; TOP1MT; Topoisomerase I mitochondrial; Type IB Topoisomerase

Positive Control

A431 cells. Heart, Skeletal muscle, brain or fetal liver.

Known Applications & Suggested Dilutions

Western Blot, IHC-P         More Details

Western Blot (1-2ug/ml)
Immunohistochemistry (Formalin-fixed) (1-2ug/ml for 30 minutes at RT)(Staining of formalin-fixed tissues requires heating tissue sections in 10mM Tris with 1mM EDTA, pH 9.0, for 45 min at 95°C followed by cooling at RT for 20 minutes)
Optimal dilution for a specific application should be determined.

Immunogen

Recombinant full-length human TOP1MT protein

Cellular Localization

Cytoplasmic (Mitochondria)

Species Reactivity

Human.

Host / Ig Isotype

Mouse / IgG2b, kappa

Mol. Weight of Antigen

70kDa

Specificity & Comments

DNA topoisomerases are nuclear enzymes that regulate the topological structure of DNA in eukaryotic cells by transiently breaking and rejoining DNA strands. Due to their roles in DNA replication, recombination, and transcription, DNA topoisomerases have been identified as targets of numerous anticancer drugs. Mitochondrial Topo I (DNA topoisomerase I, mitochondrial) is a 601 amino acid protein that primarily acts to relieve DNA strain that may occur during duplication of mitochondrial DNA. As a type IB topoisomerase, mitochondrial Topo I requires a divalent metal, either, calcium or magnesium, as well as an alkaline pH for optimal activity.

Related Products



200ug/ml of Ab Purified from Bioreactor Concentrate by Protein A/G. Prepared in 10mM PBS with 0.05% BSA & 0.05% azide. Also available WITHOUT BSA & azide at 1.0mg/ml.

Key References

  1. Zhang, H., et al. 2007. Biochimie 89: 474-481.
  2. Zhang, H., et al. 2001. Proc. Natl. Acad. Sci. USA 98: 10608-10613.

Bioinformatics

  •  Entrez Gene ID: 116447
  •  Gene Symbol: TOP1MT
  •  SwissProt: Q969P6
  •  Chromosome Location: 8q24.3
  •  Unigene: 528574
NBT00490