2 Union Square, Union City, CA 94587
contact@NeoBiotechnologies.com
510-376-5603

Home >> Antibodies >> VEGF (Vascular Endothelial Growth Factor)

VEGF (Vascular Endothelial Growth Factor)

Mouse Monoclonal Antibody [Clone VEGF/1063]

Catalog #

Size

20 ug
100 ug
100 ug

Price (USD)

219.00
499.00
499.00

Formulation

Purified Ab with BSA and Azide at 200ug/ml
Purified Ab with BSA and Azide at 200ug/ml
Purified Ab WITHOUT BSA and Azide at 1.0mg/ml

Catalog No

Size

20 ug
100 ug
100 ug

Formulation

Purified Ab with BSA and Azide at 200ug/ml
Purified Ab with BSA and Azide at 200ug/ml
Purified Ab WITHOUT BSA and Azide at 1.0mg/ml

Price (USD)

219.00
499.00
499.00
img

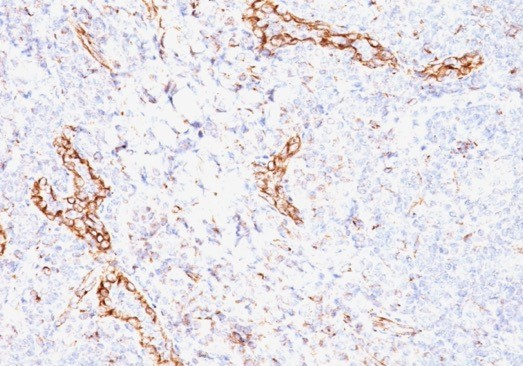
Formalin-fixed, paraffin-embedded human tonsil stained with VEGF Mouse Monoclonal Antibody (VEGF/1063).

img

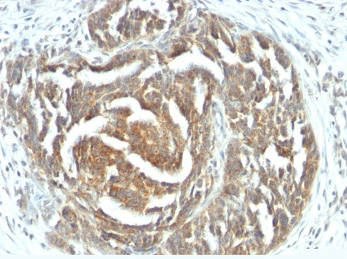
Formalin-fixed, paraffin-embedded human ovarian carcinoma stained with VEGF Mouse Monoclonal Antibody (VEGF/1063).

img

SDS-PAGE Analysis Purified VEGF Mouse Monoclonal Antibody (VEGF/1063). Confirmation of Purity and Integrity of Antibody.

Product Details

Synonyms

MVCD1; Vascular Endothelial Growth Factor A (VEGF-A); Vascular Permeability Factor (VPF); VEGFA

Positive Control

Tumor cells in astrocytomas, breast or ovarian carcinomas.

Known Applications & Suggested Dilutions

IF, IHC-P         More Details

Immunofluorescence (1-2ug/ml)
Immunohistochemistry (Formalin-fixed) (1-2ug/ml for 30 minutes at RT)
(Staining of formalin-fixed tissues requires heating tissue sections in 10mM Tris with 1mM EDTA, pH 9.0, for 45 min at 95°C followed by cooling at RT for 20 minutes)
Optimal dilution for a specific application should be determined.

Immunogen

Human VEGF189 recombinant protein

Cellular Localization

Cytoplasm. Cell surface. Extracellular (secreted).

Species Reactivity

Human. Mouse. Rat. Rabbit. Dog.

Host / Ig Isotype

Mouse / IgG1, kappa

Mol. Weight of Antigen

19-22kDa (reducing) and 38kDa-44kDa (non-reducing)

Specificity & Comments

This MAb recognizes proteins of 19-22kDa (reducing) and 38kDa-44kDa (non-reducing), identified as various isoforms of Vascular Endothelial Growth Factor or Vascular Permeability Factor (VEGF/VPF). It is highly specific to VEGF, which is a homodimeric, disulfide-linked glycoprotein with a close homology to platelet derived growth factor (PDGF). There are multiple isoforms of VEGF containing 206-, 189-, 165-, and 121-amino acid residues. The smaller two isoforms, VEGF165 and VEGF121, are secreted proteins and act as diffusible agents, whereas the larger two remain cell associated. VEGF/VPF plays an important role in angiogenesis, which promotes tumor progression and metastasis.

Related Products



200ug/ml of Ab purified from Bioreactor Concentrate by Protein A/G. Prepared in 10mM PBS with 0.05% BSA & 0.05% azide. Also available WITHOUT BSA & azide at 1.0mg/ml.

Key References

  1. Tischer, E., et al. 1991. The human gene for vascular endothelial growth factor. Multiple protein forms are encoded through alternative exon splicing. J. Biol. Chem. 266: 11947-11954.
  2. Berse, B., et al. 1992. Vascular permeability factor (vascular endothelial growth factor) gene is expressed differentially in normal tissues, macrophages and tumors. Mol. Biol. Cell 3: 211-220.
  3. Folkman, J., et al. 1989. Induction of angiogenesis during the transition from hyperplasia to neoplasia. Nature 339: 58-61.

Bioinformatics

  •  Entrez Gene ID: 7422
  •  Gene Symbol: VEGFA
  •  SwissProt: P15692
  •  Chromosome Location: 6p12
  •  Unigene: 73793