2 Union Square, Union City, CA 94587
contact@NeoBiotechnologies.com
510-376-5603

Home >> Antibodies >> Wilm s Tumor 1 (WT1) (Wilm s Tumor & Mesothelial Marker)

Wilm s Tumor 1 (WT1) (Wilm s Tumor & Mesothelial Marker)

Mouse Monoclonal Antibody [Clone WT1/7450]

Catalog #

Size

20 ug
100 ug
100 ug

Price (USD)

219.00
499.00
499.00

Formulation

Purified Ab with BSA and Azide at 200ug/ml
Purified Ab with BSA and Azide at 200ug/ml
Purified Ab WITHOUT BSA and Azide at 1.0mg/ml

Catalog No

Size

20 ug
100 ug
100 ug

Formulation

Purified Ab with BSA and Azide at 200ug/ml
Purified Ab with BSA and Azide at 200ug/ml
Purified Ab WITHOUT BSA and Azide at 1.0mg/ml

Price (USD)

219.00
499.00
499.00
img

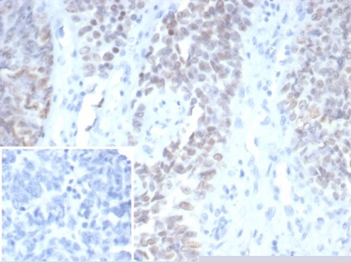
Formalin-fixed, paraffin-embedded human ovarian carcinoma stained with Wilm's Tumor Mouse Monoclonal Antibody (WT1/7450). Inset: PBS instead of primary antibody; secondary only negative control.

img

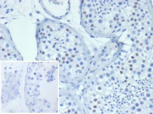
Formalin-fixed, paraffin-embedded human testis stained with Wilm's Tumor Mouse Monoclonal Antibody (WT1/7450). Inset: PBS instead of primary antibody; secondary only negative control.

Product Details

Synonyms

WT1; AWT1; FWT1; GUD; NPHS4; WAGR; Wilms tumor 1

Positive Control

Human Wilm s tumor, mesothelioma or fetal kidney.

Known Applications & Suggested Dilutions

IHC-P         More Details

Immunohistochemistry (Formalin-fixed) (1-2ug/ml for 30 minutes at RT)
(Staining of formalin-fixed tissues requires heating tissue sections in 10mM Tris with 1mM EDTA, pH 9.0, for 45 min at 95°C followed by cooling at RT for 20 minutes)
Optimal dilution for a specific application should be determined.

Immunogen

Recombinant fragment (around aa150-350) of human WT1 protein (exact sequence is proprietary)

Cellular Localization

Nucleus and cytoplasm. Shuttles between nucleus and cytoplasm.

Species Reactivity

Human.

Host / Ig Isotype

Mouse / IgG1, kappa

Mol. Weight of Antigen

49kDa

Specificity & Comments

The WT1 gene located at chromosome 11p13 codes for a transcription factor, a DNA-binding nucleoprotein, that plays a role primarily in the development of genitourinary organs. There are at least eight isoforms ranging between 52 and 62kDa produced by a combination of alternative splicing and RNA editing. WT1 is synthesized and reside in the cytoplasm in an inactive form. When activated through phosphorylation it is translocated to the nucleus. WT1 influences cell proliferation by suppressing bcl-2 and regulating cadherin and p53. In normal epithelia, nuclear WT1 expression is largely restricted to ovary (surface epithelium and inclusion cysts) and fallopian tube, while WT1 is not found in endometrial or cervical epithelium. As regards nonepithelial cells, nuclear WT1 is found in mesothelium and some sub mesothelial stromal cells, stromal cells of the female genital tract, testicular non-germinal cells, and kidney (podocytes). In tumor tissues, WT1 is detected in tumor cells of Wilms Tumor (also known as nephroblastoma) and mesothelioma. Additionally, WT1 expression has been found in ovarian serous carcinomas and some breast carcinomas.WT1 is particularly used for distinguishing malignant mesothelioma and ovarian serous carcinoma from nonserous carcinomas. As for malignant mesothelioma, calretinin and WT1 are superior to cytokeratin 5/6, N-cadherin and thrombomodulin. WT1 is also applicable for the differential diagnostic of small cell childhood tumors.

Related Products



200ug/ml of Ab purified by Protein A/G. Prepared in 10mM PBS with 0.05% BSA & 0.05% azide. Also available WITHOUT BSA & azide at 1.0mg/ml.

Key References

  1. Rauscher FJ. FASEB J 1993; 7:896

Bioinformatics

  •  Entrez Gene ID: 7490
  •  Gene Symbol: WT1
  •  SwissProt: P19544
  •  Chromosome Location: 11p13
  •  Unigene: 591980