2 Union Square, Union City, CA 94587
contact@NeoBiotechnologies.com
510-376-5603

Home >> Antibodies >> Wilm's Tumor 1 (WT1) (Wilm's Tumor & Mesothelial Marker)

Wilm's Tumor 1 (WT1) (Wilm's Tumor & Mesothelial Marker)

Recombinant Mouse Monoclonal Antibody [Clone rWT1/857]

Catalog #

Size

20 ug
100 ug
100 ug

Price (USD)

219.00
499.00
499.00

Formulation

Purified Ab with BSA and Azide at 200ug/ml
Purified Ab with BSA and Azide at 200ug/ml
Purified Ab WITHOUT BSA and Azide at 1.0mg/ml

Catalog No

Size

20 ug
100 ug
100 ug

Formulation

Purified Ab with BSA and Azide at 200ug/ml
Purified Ab with BSA and Azide at 200ug/ml
Purified Ab WITHOUT BSA and Azide at 1.0mg/ml

Price (USD)

219.00
499.00
499.00
img

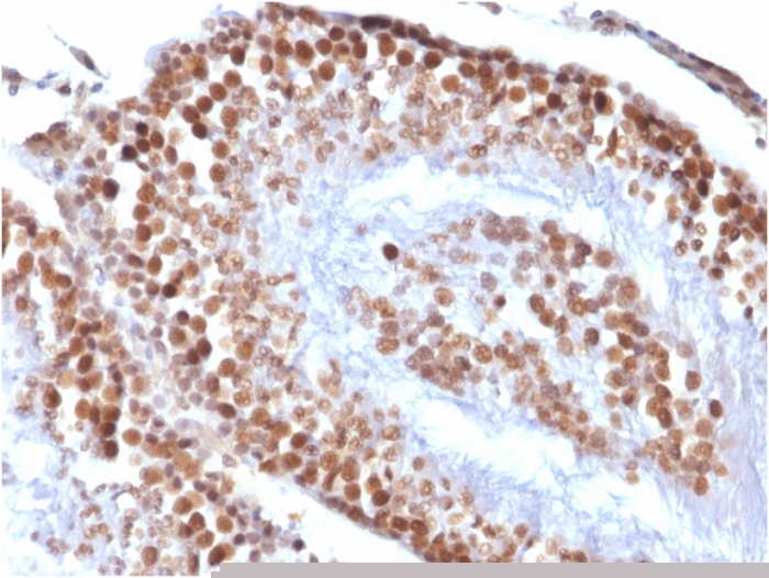
Formalin-fixed, paraffin-embedded human Testis stained with Wilm's Tumor Mouse Recombinant Monoclonal Antibody (rWT1/857).

img

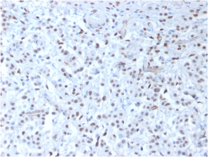
Formalin-fixed, paraffin-embedded human Mesothelioma stained with Wilm's Tumor Mouse Recombinant Monoclonal Antibody (rWT1/857).

img

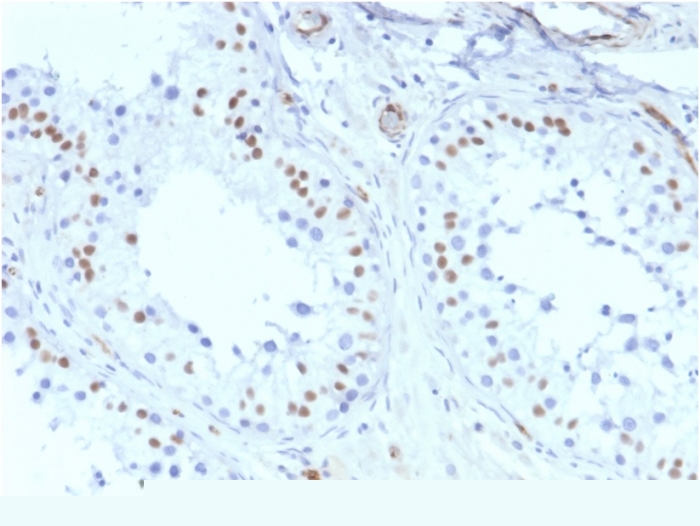
Formalin-fixed, paraffin-embedded Rat Testis stained with Wilm's Tumor Mouse Recombinant Monoclonal Antibody (rWT1/857).

img

SDS-PAGE Analysis Purified Wilm's Tumor Mouse Recombinant Monoclonal Antibody (rWT1/857). Confirmation of Purity and Integrity of Antibody

img

Analysis of Protein Array containing more than 19,000 full-length human proteins using Wilm's Tumor Mouse Recombinant Monoclonal Antibody (rWT1/857).

Product Details

Synonyms

WT1; AWT1; FWT1; GUD; NPHS4; WAGR; Wilms tumor 1

Positive Control

K562 cells. Wilm's Tumor, mesothelioma or fetal kidney.

Known Applications & Suggested Dilutions

IHC-P         More Details

Immunohistochemistry (Formalin-fixed) (1-2ug/ml for 30 minutes at RT)(Staining of formalin-fixed tissues requires heating tissue sections in 10mM Tris with 1mM EDTA, pH 9.0, for 45 min at 95°C followed by cooling at RT for 20 minutes)
Optimal dilution for a specific application should be determined.

Immunogen

Recombinant full-length human WT1 protein

Cellular Localization

Nuclear and Cytoplasmic

Species Reactivity

Human. Mouse. Rat.

Host / Ig Isotype

Mouse / IgG1, kappa

Mol. Weight of Antigen

47-55kDa

Specificity & Comments

Recognizes a 47-55kDa-tumor suppressor protein, identified as Wilm's Tumor (WT1) protein. The antibody reacts with all isoforms of the full-length WT1 and also identifies WT1 lacking exon 2-encoded amino acids, frequently found in subsets of sporadic Wilm's tumors.WT1, a sporadic and familial pediatric kidney tumor, is genetically heterogeneous. Wilm's tumor is associated with mutations of WT1, a zinc-finger transcription factor that is essential for the development of the metanephric kidney and the urogenital system. The WT1 gene is normally expressed in fetal kidney and mesothelium, and its expression has been suggested as a marker for Wilm's tumor and mesothelioma. WT1 protein has been identified in proliferative mesothelial cells, malignant mesothelioma, ovarian carcinoma, gonadoblastoma, nephroblastoma, and desmoplastic small round cell tumor. Lung adenocarcinomas rarely stain positive with this antibody. WT1 protein expression in mesothelial cells has become a reliable marker for the diagnosis of mesotheliomas.

Related Products



200ug/ml of recombinant MAb Purified by Protein A/G. Prepared in 10mM PBS with 0.05% BSA & 0.05% azide. Also available WITHOUT BSA & azide at 1.0mg/ml.

Key References

  1. Rauscher FJ. FASEB J 1993; 7:896

Bioinformatics

  •  Entrez Gene ID: 7490
  •  Gene Symbol: WT1
  •  SwissProt: P19544
  •  Chromosome Location: 11p13
  •  Unigene: 591980
NBT01856