2 Union Square, Union City, CA 94587
contact@NeoBiotechnologies.com
510-376-5603

Home >> Antibodies >> YBX1 / Y-box Binding Protein 1 / YB-1 (Tumor Biomarker)

YBX1 / Y-box Binding Protein 1 / YB-1 (Tumor Biomarker)

Recombinant Mouse Monoclonal Antibody [Clone rYBX1/2430]

Catalog #

Size

20 ug
100 ug
100 ug

Price (USD)

219.00
499.00
499.00

Formulation

Purified Ab with BSA and Azide at 200ug/ml
Purified Ab with BSA and Azide at 200ug/ml
Purified Ab WITHOUT BSA and Azide at 1.0mg/ml

Catalog No

Size

20 ug
100 ug
100 ug

Formulation

Purified Ab with BSA and Azide at 200ug/ml
Purified Ab with BSA and Azide at 200ug/ml
Purified Ab WITHOUT BSA and Azide at 1.0mg/ml

Price (USD)

219.00
499.00
499.00
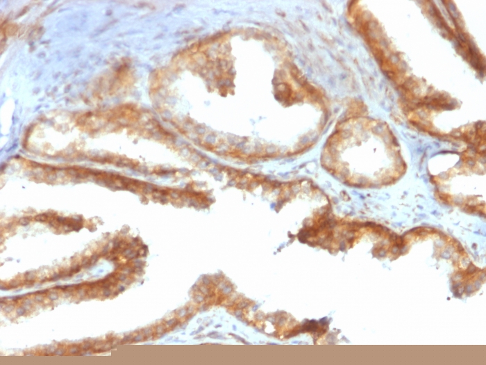
img

Formalin-fixed, paraffin-embedded human Prostate Carcinoma stained with YBX1 Mouse Recombinant Monoclonal Antibody (rYBX1/2430).

img

SDS-PAGE Analysis Purified YBX1 Mouse Recombinant Monoclonal Antibody (rYBX1/2430). Confirmation of Purity and Integrity of Antibody.

Product Details

Synonyms

BP-8, CSDA2, CSDB, DBPB, MDR-NF1, NSEP-1, NSEP1, YB-1, YB1

Positive Control

MCF-7, HEK293 or PC12 cells. Prostate, Breast or Lung Carcinoma.

Known Applications & Suggested Dilutions

IHC-P         More Details

Immunohistochemistry (Formalin-fixed) (1-2ug/ml for 30 min at RT)(Staining of formalin-fixed tissues requires heating tissue sections in 10mM Tris with 1mM EDTA, pH 9.0, for 45 min at 95°C followed by cooling at RT for 20 minutes)
Optimal dilution for a specific application should be determined.

Immunogen

Recombinant human full-length YBX1 protein

Cellular Localization

Cytoplasmic and Nuclear

Species Reactivity

Human.

Host / Ig Isotype

Mouse / IgG1, kappa

Mol. Weight of Antigen

36kDa

Specificity & Comments

The specificity of this monoclonal antibody to its intended target was validated by HuProtTM Array, containing more than 19,000, full-length human proteins. Y-box binding protein-1 (YBX1) is the prototypic member of the cold shock protein family that fulfills numerous cellular functions. In the nucleus, YBX1 protein orchestrates transcription of proliferation-related genes, whereas in the cytoplasm it associates with mRNA and directs translation. In human tumor entities, such as breast, lung and prostate cancer, cellular YBX1 expression indicates poor clinical outcome, suggesting that YBX1 is an attractive marker to predict patients' prognosis.

Related Products



200ug/ml of Ab Purified from Bioreactor Concentrate by Protein A/G. Prepared in 10mM PBS with 0.05% BSA & 0.05% azide. Also available WITHOUT BSA & azide at 1.0mg/ml.

Key References

  1. Janz M., et al. Int J Cancer. 2002, 97 (3): 278-282.
  2. Gimenez-Bonafe P, et al. Prostate. 2004, 59 (3): 337-349.

Bioinformatics

  •  Entrez Gene ID: 4904
  •  Gene Symbol: YBX1
  •  SwissProt: P67809
  •  Chromosome Location: 1p34.2
  •  Unigene: 473583
NBT02570