2 Union Square, Union City, CA 94587
contact@NeoBiotechnologies.com
510-376-5603

Home >> Antibodies >> ZAP70 (Chronic Lymphocytic Leukemia Marker)

ZAP70 (Chronic Lymphocytic Leukemia Marker)

Mouse Monoclonal Antibody [Clone ZAP70/2046]

Catalog #

Size

20 ug
100 ug
100 ug

Price (USD)

219.00
499.00
499.00

Formulation

Purified Ab with BSA and Azide at 200ug/ml
Purified Ab with BSA and Azide at 200ug/ml
Purified Ab WITHOUT BSA and Azide at 1.0mg/ml

Catalog No

Size

20 ug
100 ug
100 ug

Formulation

Purified Ab with BSA and Azide at 200ug/ml
Purified Ab with BSA and Azide at 200ug/ml
Purified Ab WITHOUT BSA and Azide at 1.0mg/ml

Price (USD)

219.00
499.00
499.00
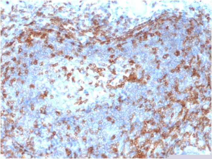
img

Formalin-fixed, paraffin-embedded human Lymph Node stained with ZAP70 Mouse Monoclonal Antibody (ZAP70/2046).

img

SDS-PAGE Analysis Purified ZAP70 Mouse Monoclonal Antibody (ZAP70/2046). Confirmation of Integrity and Purity of Antibody.

img

Analysis of Protein Array containing more than 19,000 full-length human proteins using ZAP70 Mouse Monoclonal Antibody (ZAP70/2046).

Product Details

Synonyms

Selective T cell defect; SRK; STD; Syk-related tyrosine kinase; Tyrosine-protein kinase ZAP-70;TZK; Zeta chain associated protein kinase 70kDa

Positive Control

Jurkat cells. Tonsil or lymph node.

Known Applications & Suggested Dilutions

ELISA, IHC-P         More Details

ELISA (Use Ab at 2-4ug/ml for coating) (Order Ab without BSA)
Immunohistochemistry (Formalin-fixed) (1-2ug/ml for 30 minutes at RT)(Staining of formalin-fixed tissues requires heating tissue sections in 10mM Tris with 1mM EDTA, pH 9.0, for 45 min at 95°C followed by cooling at RT for 20 minutes)
Optimal dilution for a specific application should be determined.

Immunogen

Recombinant fragment (around aa 247-382) of human ZAP70 protein (exact sequence is proprietary)

Cellular Localization

Cell Surface and Cytoplasmic

Species Reactivity

Human.

Host / Ig Isotype

Mouse / IgG2a, kappa

Mol. Weight of Antigen

70kDa

Specificity & Comments

ZAP70 is a 70kDa protein tyrosine kinase found in T-cells and natural killer cells.Control of this protein translation is via the IgVH gene. ZAP70 protein is expressed in leukemic cells of approximately 25% of chronic lymphocytic leukemia (CLL) cases as well.Anti-ZAP70 expression is an excellent surrogate marker for the distinction between the Ig-mutated (anti-ZAP70 negative) and Ig-unmutated (anti-ZAP70 positive) CLL subtypes and can identify patient groups with divergent clinical courses. The anti-ZAP70 positive Ig-unmutated CLL cases have been shown to have a poorer prognosis.

Related Products



200ug/ml of Ab Purified from Bioreactor Concentrate by Protein A/G. Prepared in 10mM PBS with 0.05% BSA & 0.05% azide. Also available WITHOUT BSA & azide at 1.0mg/ml.

Key References

  1. Iwashima M, Irving BA, van Oers NSC, Chan AC, Weiss A. Sequential interactions of the TCR with two distinct cytoplasmic tyrosine kinases. Science 1994;263:1136-9.

Bioinformatics

  •  Entrez Gene ID: 7535
  •  Gene Symbol: ZAP70
  •  SwissProt: P43403
  •  Chromosome Location: 2q12
  •  Unigene: 234569
NBT02046